上皮细胞用什么染色什么是“线索细胞”?

新闻资讯2026-04-23 16:05:10
微医学生导语
什么是“线索细胞”?
上皮细胞用什么染色什么是“线索细胞”?_https://www.jmylbn.com_新闻资讯_第1张

1、什么是“线索细胞”?


在讲线索细胞前先来简单了解下白带,白带是由阴道黏膜渗出物、宫颈腺体分泌物及子宫内膜腺体分泌物混合而成,内含阴道上皮脱落细胞、白细胞、乳酸杆菌。它的形成与雌激素水平息息相关。


白带中的菌群分布:


1

革兰阳性需氧菌和兼性厌氧菌:乳杆菌、棒状杆菌、非溶血性链球菌及表皮葡萄球菌;


2

革兰阴性需氧菌和兼性厌氧菌:加德纳菌(有时因变异呈革兰阳性),大肠埃希菌及摩根菌;;


3

专性厌氧菌:消化球菌、消化链球菌、类杆菌等;


4

其他:支原体、假丝酵母菌等。


线索细胞 (clue cell) = 鳞状上皮细胞 + 加德纳菌和其他厌氧菌


线索细胞:线索细胞是指细菌性阴道炎患者有许多杆菌凝聚在阴道上皮细胞边缘,在悬滴涂片中见到阴道上皮细胞边缘呈颗粒状或点画状致使模糊不清者即为线索细胞,它是细菌性阴道病的最敏感最特异的体征,临床医生根据胺试验阳性及有线索细胞即可做出细菌性阴道病的诊断。线索细胞就是阴道鳞状上皮细胞上黏附大量加德纳菌及其他厌氧菌,像线索状排布。


在阴道分泌物中发现线索细胞是诊断细菌性阴道病的重要指标之一。


2、线索细胞的临床意义


细菌性阴道病(bacterial vaginosis,BV)是以阴道内正常产生过氧化氢的乳杆菌减少或消失,而以兼性厌氧菌及厌氧菌增多为主导致的阴道感染。常见的病原体包括兼性厌氧菌(阴道加德纳菌)、厌氧菌(普雷沃菌、动弯杆菌、拟杆菌、阴道阿托普菌)以及解脲脲原体、人型支原体等。


BV诊断的临床“金标准” —— Amsel标准

1、阴道分泌物灰白色、均质、糜状;

2、阴道分泌物pH值>4.5;

3、胺试验阳性;

4、线索细胞数量>20%的阴道上皮细胞总量(必要条件)


上述4项临床特征中至少3项阳性(线索细胞阳性为必备条件)即诊断 BV。其诊断敏感度为60%~72%,特异度为90%~94%。


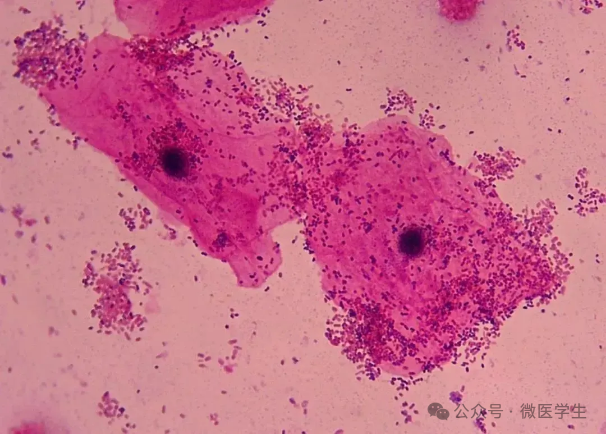
3、线索细胞的形态 


线索细胞的湿片背景像撒了一层细沙,边缘像叶子被虫子啃咬后破破烂烂。细胞边缘呈锯齿状,表面黏附大量加德纳菌及其他短杆菌,呈线索状排布。细胞核模糊不清,细胞可见溶解。背景可见大量呈细小颗粒的加德纳菌和其他厌氧菌。

上皮细胞用什么染色什么是“线索细胞”?_https://www.jmylbn.com_新闻资讯_第2张

▲图1 线索细胞(盐水湿片法)

上皮细胞用什么染色什么是“线索细胞”?_https://www.jmylbn.com_新闻资讯_第3张

▲图2 线索细胞(革兰氏染色法)


盐水湿片法由于细胞间颜色差异较小,在复杂背景下特异性低,对线索细胞的识别率不高。


革兰氏染色法由于阴道加德纳菌本身的特点以及染色质片过程出现的问题,从而可能显示为阴阳不定的颜色,从而导致误判。


因此,目前的形态学镜检对于线索细胞的识别均存在局限性。


4、荧光染色法下线索细胞的形态


荧光法染色后线索细胞呈现:正常呈绿色荧光的鳞状上皮细胞表面粘附大量加德纳菌和杆菌。

上皮细胞用什么染色什么是“线索细胞”?_https://www.jmylbn.com_新闻资讯_第4张上皮细胞用什么染色什么是“线索细胞”?_https://www.jmylbn.com_新闻资讯_第5张

▲图3 线索细胞(荧光染色法)


END
上皮细胞用什么染色什么是“线索细胞”?_https://www.jmylbn.com_新闻资讯_第6张
  欢迎将文章分享到朋友圈  
本文由小编整理编辑制作而成,未经授权禁止转载。本微信转载文章出于非商业性的教育和科研目的,如转载稿、图片涉及版权等问题,请立即联系我们,我们会予以更改或删除相关文章,保证您的权益。 插图及封面图:同来源,非商业用途,该文章不构成医学建议,仅用于提供信息。如有侵权,请联系我们。
上皮细胞用什么染色什么是“线索细胞”?_https://www.jmylbn.com_新闻资讯_第7张
End

上皮细胞用什么染色什么是“线索细胞”?_https://www.jmylbn.com_新闻资讯_第8张大家都在看

低血压
葡萄膜炎
低镁血症
低磷血症
胎儿心脏彩超
世界男性健康日
未分化结缔组织病
神经科普之脑震荡
病态窦房结综合征
急性肠系膜血管栓塞
一文读懂心源性休克
一文详解干燥综合征
中国1120心梗救治日
Bowen's,你见过吗?
什么是疣?(寻常疣)
浅谈Takotsubo综合征
HELLP综合征的前世今生
POEMS综合征是咋回事?
“Alport综合症”是咋回事
我是个护士,你会爱我多久?
冠心病,看这篇文章就够了!
一分钟让你知道什么是白内障
新冠防控方案 (第八版)PPT
胡桃夹综合征(含后胡桃夹综合征)
美国单纯按压式心肺复苏中文版视频
脑动脉瘤的发生和治疗动画及护理大全
学会这项技术,关键的时候是可以救命
5.17世界高血压日丨健康血压,健康人生
出门晕车怎么办?教你3个方法当场缓解
差点被爱杀死:一则值得警惕的性交事故
如果不是因为乳腺增生,也许我们已经·····
【420痛风日】关于痛风,这篇文章说透了!
呼吸道合胞病毒是个什么鬼?你们听过吗?
别再催核酸报告了,看完这篇文章就明白了!
什么是声带白斑?哪些人群容易得声带白斑?
世界早产儿日: 母乳喂养为早产宝宝赋爱·赋能
情人节“作”死指南,让医生后怕的啪啪啪案例!
阿斯伯格综合征 | 是上天的宠儿,还是折翼的天使?
世界防治结核病日| 终结结核流行,自由健康呼吸
那些手汗多的人注意了!你很可能是得了「手汗症」
什么是阿斯伯格综合症(Asperger’s Syndrome)?
“世界艾滋病日”——“携手防疫抗艾,共担健康责任”
高三的儿子坚持要学医,医生父亲连夜写出这份知情同意书
注意!反腐新规:医生不许进娱乐场所,办公室不许有未拆封烟酒
“春天到了,我却闻不到花香” —性幼稚伴有失嗅的卡尔曼综合征
抢救几个小时,没保住23岁小伙的命!一定要学点急救知识,关键时刻能救命!

上皮细胞用什么染色什么是“线索细胞”?_https://www.jmylbn.com_新闻资讯_第9张

服务医生,期待支持!
微医学生》为旗下超 100万读者诚邀广大医友分享您的佳作,让更多医生受益,欢迎广大医师投稿:980151516@qq.com,另如有版权争议或频道建议与需要均可在频道后台留言或直接加小编QQ或微信:980151516沟通,谢谢

上皮细胞用什么染色什么是“线索细胞”?_https://www.jmylbn.com_新闻资讯_第10张