mmd在医学上什么意思髋关节疼痛临床与影像(一)

新闻资讯2026-04-23 15:01:20


mmd在医学上什么意思髋关节疼痛临床与影像(一)_https://www.jmylbn.com_新闻资讯_第1张

mMDT影像医学

       mMDT影像医学公众号从2021年开始接受同行的投稿,需要影像医学相关的稿件,审核后录用,稿费见公众号下面的联系我们分栏。英雄不问出处,如果您对亚专科的某一部分知识有独到深入的认识或研究,可以参与我们亚专科的培训或者合作做专题培训;如果您有兴趣合作共建省分群或省亚专科群,请联系我们;如果您有招生的资源,可以合作招生,欢迎各位同道洽谈合作。

mmd在医学上什么意思髋关节疼痛临床与影像(一)_https://www.jmylbn.com_新闻资讯_第2张


                                             点击上方视频学习

视频+PPT格式,原创内容

欢迎大家参与学习

欢迎转发、学习、收藏


mmd在医学上什么意思髋关节疼痛临床与影像(一)_https://www.jmylbn.com_新闻资讯_第3张

mmd在医学上什么意思髋关节疼痛临床与影像(一)_https://www.jmylbn.com_新闻资讯_第4张

mmd在医学上什么意思髋关节疼痛临床与影像(一)_https://www.jmylbn.com_新闻资讯_第5张

mmd在医学上什么意思髋关节疼痛临床与影像(一)_https://www.jmylbn.com_新闻资讯_第6张

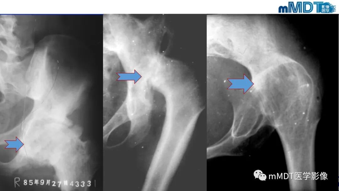
一过性骨髓水肿综合征

Ø  概述

1.暂时性骨质疏松症是一种病因不明的一过性、自限性疾病。

2.发病机制  骨髓脂肪坏死、骨吸收、骨髓组织周围水肿样变化和轻度纤维化,常伴血管性充血或间质性出血,以及滑膜炎表现,有时可见软骨下骨折,伴有骨痂和肉芽组织,但无骨坏死表现。

3.临床表现  好发于中年或怀孕3个月左右女性,单侧或双侧均可发病,主要症状为无任何诱因出现髋部剧烈疼痛,呈渐进性并放射至膝关节,伴髋关节活动不利、跛行,疼痛加重约在发病后4-8周,并持续一段时间,之后疼痛逐渐减轻至消失,病程约6-12个月,髋部肌肉及股四头肌呈失用性萎缩。实验室检查阴性。

Ø  影像表现

1.平片、CT:活动期表现骨质疏松,股骨头和转子间弥漫性骨密度减低,股骨头软骨下骨皮质吸收,髋臼受累程度轻,无骨侵蚀或破坏,关节间隙保持正常。

2.MRI:股骨头至转子间在T1WI低信号,T2WI及脂肪抑制像呈均匀一致高信号,无局灶性改变,多伴髋关节积液,周围肌肉层次清晰,随访多于6-10个月内恢复正常,无后遗症。

mmd在医学上什么意思髋关节疼痛临床与影像(一)_https://www.jmylbn.com_新闻资讯_第7张

mmd在医学上什么意思髋关节疼痛临床与影像(一)_https://www.jmylbn.com_新闻资讯_第8张

成人髋臼发育不良性关节病

Ø  概述

.髋臼发育不良的病因尚不清楚,关于致病因素有学者认为出生时髋臼异常是原发的,与胎儿发育状况和遗传因素有关,1/4患者有家族史。也有学者提出髋臼发育不良继发于某些致脱位因素,认为髋臼浅平的存在是由于幼儿时期髋臼窝内缺乏股骨头应有的刺激。青年女性多于男性,成人型髋臼发育不良临床症状出现的早晚与发生继发病变的时间有关,取决于患者的性别、职业、年龄及髋关节劳损情况等因素。

Ø  影像表现

1.X线平片对本病的诊断是重要的,还应作相关测量,包括髋臼角、CE角、髋臼覆盖率(股骨头裸露程度)等。成人以测量CE角较为准确,而且简便。

2.在骨盆前后位片上髋臼顶短小,CE角小于30度,伴或不伴有髋臼倾斜度过大(髋臼角大于45度),股骨头裸露25%以上,可诊断为髋臼发育不良。需要注意的是,有时髋臼边缘继发骨性增生,使髋臼外缘代偿性加宽(假臼缘形成),可表现为CE角减小不明显甚至不变小;而股骨头肥大、变形、外移或半脱位时则可出现由于股骨头中心外移造成的CE角过度变小和股骨头裸露增大,在这种情况下,观察髋臼角的增大及髋臼深度的改变有重要意义。

 

mmd在医学上什么意思髋关节疼痛临床与影像(一)_https://www.jmylbn.com_新闻资讯_第9张

mmd在医学上什么意思髋关节疼痛临床与影像(一)_https://www.jmylbn.com_新闻资讯_第10张

mmd在医学上什么意思髋关节疼痛临床与影像(一)_https://www.jmylbn.com_新闻资讯_第11张

mmd在医学上什么意思髋关节疼痛临床与影像(一)_https://www.jmylbn.com_新闻资讯_第12张

mmd在医学上什么意思髋关节疼痛临床与影像(一)_https://www.jmylbn.com_新闻资讯_第13张

mmd在医学上什么意思髋关节疼痛临床与影像(一)_https://www.jmylbn.com_新闻资讯_第14张

mmd在医学上什么意思髋关节疼痛临床与影像(一)_https://www.jmylbn.com_新闻资讯_第15张

mmd在医学上什么意思髋关节疼痛临床与影像(一)_https://www.jmylbn.com_新闻资讯_第16张

mmd在医学上什么意思髋关节疼痛临床与影像(一)_https://www.jmylbn.com_新闻资讯_第17张

mmd在医学上什么意思髋关节疼痛临床与影像(一)_https://www.jmylbn.com_新闻资讯_第18张

mmd在医学上什么意思髋关节疼痛临床与影像(一)_https://www.jmylbn.com_新闻资讯_第19张

mmd在医学上什么意思髋关节疼痛临床与影像(一)_https://www.jmylbn.com_新闻资讯_第20张

mmd在医学上什么意思髋关节疼痛临床与影像(一)_https://www.jmylbn.com_新闻资讯_第21张

mmd在医学上什么意思髋关节疼痛临床与影像(一)_https://www.jmylbn.com_新闻资讯_第22张

mmd在医学上什么意思髋关节疼痛临床与影像(一)_https://www.jmylbn.com_新闻资讯_第23张

mmd在医学上什么意思髋关节疼痛临床与影像(一)_https://www.jmylbn.com_新闻资讯_第24张

mmd在医学上什么意思髋关节疼痛临床与影像(一)_https://www.jmylbn.com_新闻资讯_第25张

mmd在医学上什么意思髋关节疼痛临床与影像(一)_https://www.jmylbn.com_新闻资讯_第26张

mmd在医学上什么意思髋关节疼痛临床与影像(一)_https://www.jmylbn.com_新闻资讯_第27张

mmd在医学上什么意思髋关节疼痛临床与影像(一)_https://www.jmylbn.com_新闻资讯_第28张

mmd在医学上什么意思髋关节疼痛临床与影像(一)_https://www.jmylbn.com_新闻资讯_第29张

mmd在医学上什么意思髋关节疼痛临床与影像(一)_https://www.jmylbn.com_新闻资讯_第30张

mmd在医学上什么意思髋关节疼痛临床与影像(一)_https://www.jmylbn.com_新闻资讯_第31张

mmd在医学上什么意思髋关节疼痛临床与影像(一)_https://www.jmylbn.com_新闻资讯_第32张

mmd在医学上什么意思髋关节疼痛临床与影像(一)_https://www.jmylbn.com_新闻资讯_第33张

mmd在医学上什么意思髋关节疼痛临床与影像(一)_https://www.jmylbn.com_新闻资讯_第34张

mmd在医学上什么意思髋关节疼痛临床与影像(一)_https://www.jmylbn.com_新闻资讯_第35张

mmd在医学上什么意思髋关节疼痛临床与影像(一)_https://www.jmylbn.com_新闻资讯_第36张

mmd在医学上什么意思髋关节疼痛临床与影像(一)_https://www.jmylbn.com_新闻资讯_第37张

mmd在医学上什么意思髋关节疼痛临床与影像(一)_https://www.jmylbn.com_新闻资讯_第38张

mmd在医学上什么意思髋关节疼痛临床与影像(一)_https://www.jmylbn.com_新闻资讯_第39张

mmd在医学上什么意思髋关节疼痛临床与影像(一)_https://www.jmylbn.com_新闻资讯_第40张

mmd在医学上什么意思髋关节疼痛临床与影像(一)_https://www.jmylbn.com_新闻资讯_第41张

mmd在医学上什么意思髋关节疼痛临床与影像(一)_https://www.jmylbn.com_新闻资讯_第42张

mmd在医学上什么意思髋关节疼痛临床与影像(一)_https://www.jmylbn.com_新闻资讯_第43张

mmd在医学上什么意思髋关节疼痛临床与影像(一)_https://www.jmylbn.com_新闻资讯_第44张

mmd在医学上什么意思髋关节疼痛临床与影像(一)_https://www.jmylbn.com_新闻资讯_第45张

mmd在医学上什么意思髋关节疼痛临床与影像(一)_https://www.jmylbn.com_新闻资讯_第46张

mmd在医学上什么意思髋关节疼痛临床与影像(一)_https://www.jmylbn.com_新闻资讯_第47张

mmd在医学上什么意思髋关节疼痛临床与影像(一)_https://www.jmylbn.com_新闻资讯_第48张

mmd在医学上什么意思髋关节疼痛临床与影像(一)_https://www.jmylbn.com_新闻资讯_第49张

mmd在医学上什么意思髋关节疼痛临床与影像(一)_https://www.jmylbn.com_新闻资讯_第50张

mmd在医学上什么意思髋关节疼痛临床与影像(一)_https://www.jmylbn.com_新闻资讯_第51张

mmd在医学上什么意思髋关节疼痛临床与影像(一)_https://www.jmylbn.com_新闻资讯_第52张

mmd在医学上什么意思髋关节疼痛临床与影像(一)_https://www.jmylbn.com_新闻资讯_第53张

mmd在医学上什么意思髋关节疼痛临床与影像(一)_https://www.jmylbn.com_新闻资讯_第54张

mmd在医学上什么意思髋关节疼痛临床与影像(一)_https://www.jmylbn.com_新闻资讯_第55张

mmd在医学上什么意思髋关节疼痛临床与影像(一)_https://www.jmylbn.com_新闻资讯_第56张

mmd在医学上什么意思髋关节疼痛临床与影像(一)_https://www.jmylbn.com_新闻资讯_第57张

mmd在医学上什么意思髋关节疼痛临床与影像(一)_https://www.jmylbn.com_新闻资讯_第58张

mmd在医学上什么意思髋关节疼痛临床与影像(一)_https://www.jmylbn.com_新闻资讯_第59张

mmd在医学上什么意思髋关节疼痛临床与影像(一)_https://www.jmylbn.com_新闻资讯_第60张

mmd在医学上什么意思髋关节疼痛临床与影像(一)_https://www.jmylbn.com_新闻资讯_第61张



2021年往期培训班回顾

第1期CT诊断培训班   CT诊断培训班授课大赛报道

第1期乳腺诊断培训班

第1期骨代谢性疾病影像诊断培训班

第1期脑血管病影像诊断培训班

第4期磁共振诊断培训班


mmd在医学上什么意思髋关节疼痛临床与影像(一)_https://www.jmylbn.com_新闻资讯_第62张

mmd在医学上什么意思髋关节疼痛临床与影像(一)_https://www.jmylbn.com_新闻资讯_第63张
mmd在医学上什么意思髋关节疼痛临床与影像(一)_https://www.jmylbn.com_新闻资讯_第64张

mMDT影像医学培训班

期数

培训班

开班信息

第4期

骨肌影像诊断

已经结束

第3期

磁共振诊断

正在进行

第2期

神经影像诊断

已经结束

第1期

CT影像诊断

正在进行

第1期

泌尿腹膜后疾病

已经结束

第1期

乳腺疾病影像诊断

已经结束

第1期

骨发育代谢性专题

已经结束

第1期

神经肿瘤专题

即将开始

第1期

骨肿瘤影像诊断

正在报名

第1期

脑血管病影像诊断

正在进行

第1期

妇科影像诊断

即将开始




mmd在医学上什么意思髋关节疼痛临床与影像(一)_https://www.jmylbn.com_新闻资讯_第65张

扫描二维码

咨询培训班详情

mmd在医学上什么意思髋关节疼痛临床与影像(一)_https://www.jmylbn.com_新闻资讯_第66张


mmd在医学上什么意思髋关节疼痛临床与影像(一)_https://www.jmylbn.com_新闻资讯_第67张

mMDT影像医学原创投稿

     2021年开始向外约稿,需要医学影像方面的原创课件。稿费按照浏览量来计算,每千浏览量给予稿费100元,两千浏览量稿费200元,三千浏览量给予稿费300元,以此类推。 公众号课件附录语音,每千浏览量增加50元稿费。

       浏览量以刊登后三天的量来计算。稿件需要自己的原创稿件,拒绝不同公众号重复投稿。投稿管理员联系人微信:  mr13893825764




mmd在医学上什么意思髋关节疼痛临床与影像(一)_https://www.jmylbn.com_新闻资讯_第68张

mmd在医学上什么意思髋关节疼痛临床与影像(一)_https://www.jmylbn.com_新闻资讯_第69张

扫描二维码关注

订阅号

mMDT影像医学

mmd在医学上什么意思髋关节疼痛临床与影像(一)_https://www.jmylbn.com_新闻资讯_第70张


mmd在医学上什么意思髋关节疼痛临床与影像(一)_https://www.jmylbn.com_新闻资讯_第71张

mmd在医学上什么意思髋关节疼痛临床与影像(一)_https://www.jmylbn.com_新闻资讯_第72张

长按二维码

关注服务号