mmd在医学上什么意思乳腺叶状瘤病例分析--李凤陈

新闻资讯2026-04-23 15:00:39

mmd在医学上什么意思乳腺叶状瘤病例分析--李凤陈_https://www.jmylbn.com_新闻资讯_第1张

mMDT影像医学

       mMDT影像医学公众号从2021年开始接受同行的投稿,需要影像医学相关的稿件,审核后录用,稿费见公众号下面的联系我们分栏。英雄不问出处,如果您对亚专科的某一部分知识有独到深入的认识或研究,可以参与我们亚专科的培训或者合作做专题培训;如果您有兴趣合作共建省分群或省亚专科群,请联系我们;如果您有招生的资源,可以合作招生,欢迎各位同道洽谈合作。

mmd在医学上什么意思乳腺叶状瘤病例分析--李凤陈_https://www.jmylbn.com_新闻资讯_第2张

mmd在医学上什么意思乳腺叶状瘤病例分析--李凤陈_https://www.jmylbn.com_新闻资讯_第3张

mmd在医学上什么意思乳腺叶状瘤病例分析--李凤陈_https://www.jmylbn.com_新闻资讯_第4张

mmd在医学上什么意思乳腺叶状瘤病例分析--李凤陈_https://www.jmylbn.com_新闻资讯_第5张

mmd在医学上什么意思乳腺叶状瘤病例分析--李凤陈_https://www.jmylbn.com_新闻资讯_第6张

mmd在医学上什么意思乳腺叶状瘤病例分析--李凤陈_https://www.jmylbn.com_新闻资讯_第7张

mmd在医学上什么意思乳腺叶状瘤病例分析--李凤陈_https://www.jmylbn.com_新闻资讯_第8张

mmd在医学上什么意思乳腺叶状瘤病例分析--李凤陈_https://www.jmylbn.com_新闻资讯_第9张

mmd在医学上什么意思乳腺叶状瘤病例分析--李凤陈_https://www.jmylbn.com_新闻资讯_第10张

mmd在医学上什么意思乳腺叶状瘤病例分析--李凤陈_https://www.jmylbn.com_新闻资讯_第11张

mmd在医学上什么意思乳腺叶状瘤病例分析--李凤陈_https://www.jmylbn.com_新闻资讯_第12张

mmd在医学上什么意思乳腺叶状瘤病例分析--李凤陈_https://www.jmylbn.com_新闻资讯_第13张

mmd在医学上什么意思乳腺叶状瘤病例分析--李凤陈_https://www.jmylbn.com_新闻资讯_第14张

mmd在医学上什么意思乳腺叶状瘤病例分析--李凤陈_https://www.jmylbn.com_新闻资讯_第15张

mmd在医学上什么意思乳腺叶状瘤病例分析--李凤陈_https://www.jmylbn.com_新闻资讯_第16张

mmd在医学上什么意思乳腺叶状瘤病例分析--李凤陈_https://www.jmylbn.com_新闻资讯_第17张

mmd在医学上什么意思乳腺叶状瘤病例分析--李凤陈_https://www.jmylbn.com_新闻资讯_第18张

mmd在医学上什么意思乳腺叶状瘤病例分析--李凤陈_https://www.jmylbn.com_新闻资讯_第19张


mmd在医学上什么意思乳腺叶状瘤病例分析--李凤陈_https://www.jmylbn.com_新闻资讯_第20张

mmd在医学上什么意思乳腺叶状瘤病例分析--李凤陈_https://www.jmylbn.com_新闻资讯_第21张

mmd在医学上什么意思乳腺叶状瘤病例分析--李凤陈_https://www.jmylbn.com_新闻资讯_第22张


mmd在医学上什么意思乳腺叶状瘤病例分析--李凤陈_https://www.jmylbn.com_新闻资讯_第23张


乳腺群病例分析记录


李凤陈 19:20

各位老师明天的晨读,大家晚上的时间可以看看,明天一起讨论


岳微 19:39

右侧乳腺内分叶状肿块,内见点状钙化。增强扫描明显强化。考虑恶性肿瘤


蔡笑燕 20:31

右乳外上象限约9点-10点钟方向后1/3带距胸壁cm可见一不规则肿块,边缘清晰,其内可见斑点钙化灶,大小约,右侧腋窝未见肿大淋巴结,虽然形态学看着良性,但是逐渐增大,考虑4a,建议穿刺活检或核磁检查。
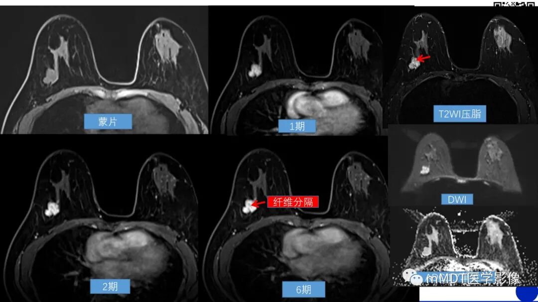
双侧乳腺呈b类,背景实质呈对称性极少强化,右乳外上象限约9点-10点中方向后1/3带距胸壁cm可见一不规则肿块,边缘清晰,T1呈稍低,T2压脂呈稍高,内部强化不均匀,见低信号分隔影,DWI呈高信号,ADC值是1.7,TIC早期快速强化,延迟期呈流入型,考虑良性可能性大,纤维腺瘤?BI-RADS 3类


田长青 城阳人民医院 20:53

@蔡笑燕 蔡老师是真厉害,干啥啥优秀[强]


郑丹丹 21:51

乳腺腺体呈c类;右乳外上象限后带不规则等密度肿块,大小约--,边界清晰,内见点状钙化影;考虑4A类。MR:右乳外上象限后带距胸壁cm可见一不规则肿块,大小约--,边缘清晰,T1呈稍低信号,T2压脂呈高信号,内见低信号分隔影,DWI呈高信号,ADC值1.7,动态增强早期快速强化,TIC曲线呈流入型,考虑纤维腺瘤,BI-RADS 3类。


李敬 22:16

乳腺腺体呈不均匀致密类(C类),右乳外上见一不规则肿块,大小约,密度均匀,呈分叶状,其内散在点状钙化,考虑4A。


程趁华 22:27

早读病例:右侧乳腺外上象限约9点-10点钟方后带可见一不规则肿块,边缘清晰,密度不均,内可见点状钙化,MR:T1呈稍低信号,T2压脂呈高信号,内见低信号分隔影,DWI呈高信号,ADC值1.7,动态增强早期快速强化,TIC曲线呈流入型,腋窝未见肿大淋巴结,虽然形态规整,但是逐渐增大,考虑4A,建议穿刺活检


marious 22:48

早读病例:右侧乳腺外上象限约9点-10点钟方后带可见一不规则肿块,边缘清晰,密度不均,内可见点状钙化,MR:T1呈稍低信号,T2压脂呈高信号,内见低信号分隔影,DWI呈高信号(结合ADC值,考虑DWI高信号为T2投射效应所致),ADC值1.7,动态增强早期快速强化,TIC曲线呈流入型,腋窝未见肿大淋巴结。形态学上多发分叶,边缘不光整,但无毛刺,界限清晰,dwi和血液动力学倾向于良性病变。临床表现为病变逐渐增大,综合分析推测是低度恶性肿瘤,考虑4A,建议穿刺活检


周青 23:16

晨读:中老年女性,病程较长,钼靶右乳外上象限约9-10点钟方向,后1/3带可见一不规则肿块,分叶,边缘清晰,其内可见小斑点状钙化灶,乳腺腺体内见散在斑点状钙化灶,腋窝未见肿大淋巴结,结合年龄和逐渐增大病史,考虑4a,建议穿刺活检或核磁检查。B超低回声?边界清晰
双侧乳腺呈c类,BPE呈对称少许强化,右乳外上象限约9-10点钟方向,后1/3带,距胸壁约cm可见一不规则肿块,边缘清晰,蒙片与腺体呈等信号,内部强化较均匀,似见低信号分隔影,DWI呈高信号,ADC值是1.7,TIC呈快速流入型,增强和弥散都不得分,形态学不好把握,结合年龄和病史考虑BI-RADS 4A类


赵闯 23:21

乳腺腺体呈c类,右乳外上象限见不规则肿物影,呈等密度,大小约~,边缘清晰,可见分叶,其内见点状钙化,右腋下见淋巴结影
诊断:右乳肿物伴钙化,建议切检 BI-RADS 4a 类



————— 2021-11-10 —————

姜雪飞 06:11

乳腺C类,右乳外上象限9—10钟方向见一不规则形肿块,边缘清楚,可见分叶,其内见细小钙化,双侧腋窝未见肿大淋巴结,B超包膜还算完整,考虑BI-RADS 4A,建议MRI。
MRI双乳纤维腺体组织B类,实质背景强化极少,右乳外上象限肿块样强化,DWI成高信号,ADC减低不明显,TIC成快速流入型曲线,双侧腋窝未见肿大淋巴结,考虑BI-RADS 4A类,结核穿刺活检综合分析。


赵闯 06:20

乳腺腺体呈c类,右乳外上象限见不规则肿物影,呈等密度,大小约~,边缘清晰,可见分叶,其内见点状钙化,右腋下见淋巴结影
诊断:右乳肿物伴钙化,建议切检 BI-RADS 4b 类


刘琪琳  06:43

MRI双乳纤维腺体组织B类,实质背景强化极少,右乳外上象限肿块影,T1WI呈低信号,T2WI呈稍高信号, DWI呈高信号,ADC减低不明显( >1.35×10﹣³㎜²/s) 。增强后呈不规则肿块样强化,内见不强化分隔,边缘比较光滑。TIC呈流入型曲线,双侧腋窝未见肿大淋巴结,积0分,考虑BI-RADS 3类,纤维腺瘤?建议结合临床


徐志 06:52

实质背景强化极少,右乳外上象限分叶肿块影,T1WI呈低信号,T2WI呈稍高信号, DWI呈高信号,ADC减低不明显( 1.7×10﹣³㎜²/s) 。增强后呈不规则肿块样强化,内见不强化分隔,边缘比较光滑。TIC呈流入型曲线,双侧腋窝未见肿大淋巴结,考虑BI-RADS 3类,纤维腺瘤可能。


云云 07:13

中年女性,肿块渐进性增大,分叶状,边界清,内有散在钙化及小囊变,纤维分隔,弥散有受限,流入型曲线,考虑BI-RADS 4a,建议穿刺。叶状肿瘤,纤维腺瘤可能性大


崔春玲 07:46

双乳腺体类型为ACR C型,右乳外上象限约10点钟方向位于乳房后1/3带腺体边缘可见一不规则肿块,边缘清晰,其内可见粗细不等颗粒样钙化灶,右侧腋窝未见实性肿大淋巴结,BI-RADS分类:4A,纤维上皮性肿瘤可能(结合年龄,近期增大的病史。分叶状肿块常见纤维腺瘤或者叶状肿瘤,合并粗大钙化者,纤维腺瘤机会大一些)
双侧乳腺腺体类型为ACR C 型,背景实质呈对称性极少强化,右乳外上象限约10点钟方向位于乳房后1/3带可见一不规则肿块,可见分叶,边缘清晰,T1呈稍低信号,T2压脂呈高信号,肿块强化不均匀,内见低信号分隔不强化,DWI呈高信号,ADC值是1.7,TIC早期快速强化,延迟期呈流入型曲线,考虑良性,纤维腺瘤可能性大 BI-RADS 3类


田长青 城阳人民医院 08:17

双测乳腺体类型为ACR C型,右乳外上象限约11点钟方向位于乳房后1/3带可见一不规则椭圆形肿块,边缘清晰,其内可见粗细不等颗粒样钙化灶,右侧腋窝未见实性肿大淋巴结,BI-RADS分类:3纤维腺瘤可能,
双侧乳腺腺体类型为ACR C 型,质背景强化极少,右乳外上象限分叶肿块影,T1WI呈低信号,T2WI压脂呈稍高信号, DWI呈高信号,ADC减低不明显( 1.7×10﹣³㎜²/s) 。增强后呈不规则肿块样强化,内见不强化分隔,边缘比较光滑。快速强化, TIC呈流入型曲线,双侧腋窝未见肿大淋巴结,考虑BI-RADS 3类,纤维腺瘤可能。


曾书波 08:29

右侧乳腺C型,右侧乳腺外上象限10-11点方向键分叶状肿块高密度肿块,边缘清晰,其内见少许点状钙化,乳头未见回缩,右侧腋窝见结节状密度增高影;超声病灶边缘稍显欠光滑,分叶;MRI:T1WI脂肪抑制等信号,T2WI脂肪抑制等高混杂信号,DWI高信号,ADC值约1.7,增强:背景强化a,为病灶早期明显强化,呈流入型。余未见明显异常。
右侧乳腺外上象限占位性病灶,BI-RADS分类:4a类,建议:无临床禁忌症活检。(考虑低度恶性或中间性病变,叶状肿瘤或黏液类肿瘤)


月圆 08:45

右乳外上象限约10点腺体全层可见一不规则肿块,呈分叶状,边缘大部分较清晰,其内回声不均匀,血供略丰富,测得动脉频谱为低速低阻型。ABVS冠状面显示肿物边缘部分成角。右侧腋窝未见肿大淋巴结。结合年龄,近期增大病史,综合分析BI-RADS分类:4A,建议穿刺活检(纤维腺瘤或者叶状肿瘤不除外)


marious 08:53

@曾书波黔西南州妇幼保健院 曾老师好!我昨天看的时候怀疑叶状肿瘤,但是我一想叶状肿瘤经过这么多年应该长的比较大了[呲牙]


郭凤珍 09:03

双侧乳腺ACR呈B型,右侧乳腺外上象限后1/3带可见不规则等密度肿块,边缘清晰,其内可见几枚点状钙化,腋窝未见肿大淋巴结影。
MRT1等信号,T2高信号,背景实质呈极少强化,肿块呈明显强化,内见低信号分隔,ADC值1.7(>1.35),增强早期呈快速强化,延迟期呈流入型。
BI一RADC 分类单从X线表现上我会归到4a
MR分类我会归到3


月圆 09:04

超声观察血流和频谱是鉴别良恶性的重要指标,良性肿瘤一般是低阻的,低速的小动脉,恶性肿瘤一般是高阻的,粗大供血动脉。


月圆 09:05

恶性肿瘤的一个重要诊断依据是血流RI>0.70。


月圆 09:14

看到这个肿物RI=0.53,哦,还好,支持良性多一点。如果再做个弹性成像测个硬度看看可能更增强诊断信心了。因为肿物不规则,不均匀,近期长得快,ABVS冠状面也有部分不规整,年龄>40岁这些因素也不能排除恶性,最起码应该是必须做穿刺的


李凤陈 09:39

从病史来看,中年女性,肿块5年,逐渐增大,不特别支持恶性,纤维腺瘤可以,但年龄稍微大些了,其一


李凤陈 09:40

其二,这个病灶分叶较明显,其内有无强化的分隔,病理上叶状肿瘤和纤维腺瘤都属于一类,纤维上皮性肿瘤,既有上皮组织又有间质成分,只是叶状肿瘤有个分叶状的外观,间质细胞比较丰富,大家看病理图


李凤陈 09:43

其三,磁共振,形态学,不规则形或椭圆形肿块,边缘清晰,血流动力学:增强早期快速强化,延迟期渐增型,功能成像:ADC不低,三方面都支持良性,所以这个病灶可以归到3类,如果不放心4A类也没问题,如果结合临床查体可能更准确


崔春玲 09:44

给大家补充一例叶状肿瘤2级的

mmd在医学上什么意思乳腺叶状瘤病例分析--李凤陈_https://www.jmylbn.com_新闻资讯_第24张

mmd在医学上什么意思乳腺叶状瘤病例分析--李凤陈_https://www.jmylbn.com_新闻资讯_第25张

李凤陈 09:45

这例典型[强]


崔春玲 09:46

半年前曾经做过一次手术是叶状肿瘤2级,现在复发了,39岁好像,年龄略偏轻了一些


周青 09:46

[强][强]这个群太好了,这种形式的学习,想不进步都难[太阳]


李凤陈 09:48

群里好多都是咱培训班学员,从病灶位置,形态,全方位描述病灶,都非常精准[强]


李凤陈 09:49

第一次晨读,大家有好的意见或建议都可以提出来啊,咱们共同进步


崔春玲 09:50

李老师的这个病例特别好,为大家开阔了思路,分叶状肿块生长较快的要考虑叶状肿瘤的可能,在病理类型上大家定到纤维上皮性肿瘤即可,尤其是磁共振上无强化的分隔在诊断时也是比较重要的参考依据


钟学兰苏泗洪县人民 10:10

MRI双乳纤维腺体组织B类,实质背景强化极少,右乳外上象限约10点钟后1/3带,距乳头约cm,见软组织肿块影,T1WI呈低信号,T2WI呈稍高信号, DWI呈高信号,ADC稍减低,可见分叶,动态增强后呈明显渐进性强化,可见分隔强化, TIC呈流入型曲线,双侧腋窝未见肿大淋巴结,积0分,考虑BI-RADS 4a类,纤维腺瘤可能,建议穿刺活检


刘琪琳  10:23

年龄偏大些,5年中,估计每年都在增大,只不过不是短期内迅速增大(叶状肿瘤多短期内迅速增大),另外出血坏死囊变没有(叶状肿瘤多见),所以我感觉叶状肿瘤有些不典型[捂脸],好病例




------乳腺专科群入群方式------

      mMDT乳腺亚专科群,本着“人人为我、我为人人”的原则,入群需如下条件:

一、积极向上,遵守群规。

二、已入群老师或想入群的老师,请您每年提供①-②份病例。邮箱ejacktian@163.com

三、入群联系李凤陈老师(微信号:18031785627);(田老师:17663918817)



mmd在医学上什么意思乳腺叶状瘤病例分析--李凤陈_https://www.jmylbn.com_新闻资讯_第26张

mmd在医学上什么意思乳腺叶状瘤病例分析--李凤陈_https://www.jmylbn.com_新闻资讯_第27张
mmd在医学上什么意思乳腺叶状瘤病例分析--李凤陈_https://www.jmylbn.com_新闻资讯_第28张

mMDT影像医学培训班

    期数

培训班

开班状态

第4期

骨肌影像诊断

已经结束

第4期

磁共振诊断

正在进行

第2期

神经影像诊断

已经结束

第1期

骨肿瘤影像专题

即将开始

第1期

泌尿腹膜后疾病

已经结束

第1期

乳腺疾病影像诊断

已经结束

第1期

关节影像专题

即将开始

第1期

神经肿瘤专题

即将开始

第1期

脑血管病专题

正在报名

第1期

CT影像诊断

正在进行

第1期

妇科影像诊断

即将开始


mmd在医学上什么意思乳腺叶状瘤病例分析--李凤陈_https://www.jmylbn.com_新闻资讯_第29张

扫描二维码

咨询培训班详情

mmd在医学上什么意思乳腺叶状瘤病例分析--李凤陈_https://www.jmylbn.com_新闻资讯_第30张


mmd在医学上什么意思乳腺叶状瘤病例分析--李凤陈_https://www.jmylbn.com_新闻资讯_第31张

mMDT影像医学原创投稿

     2021年开始向外约稿,需要医学影像方面的原创课件。稿费按照浏览量来计算,每千浏览量给予稿费100元,两千浏览量稿费200元,三千浏览量给予稿费300元,以此类推。 公众号课件附录语音,每千浏览量增加50元稿费。

       浏览量以刊登后三天的量来计算。稿件需要自己的原创稿件,拒绝不同公众号重复投稿。投稿管理员联系人微信:  mr13893825764




mmd在医学上什么意思乳腺叶状瘤病例分析--李凤陈_https://www.jmylbn.com_新闻资讯_第32张

mmd在医学上什么意思乳腺叶状瘤病例分析--李凤陈_https://www.jmylbn.com_新闻资讯_第33张

扫描二维码关注

订阅号

mMDT影像医学

mmd在医学上什么意思乳腺叶状瘤病例分析--李凤陈_https://www.jmylbn.com_新闻资讯_第34张


mmd在医学上什么意思乳腺叶状瘤病例分析--李凤陈_https://www.jmylbn.com_新闻资讯_第35张

mmd在医学上什么意思乳腺叶状瘤病例分析--李凤陈_https://www.jmylbn.com_新闻资讯_第36张

长按二维码

关注服务号