点击“中华口腔医学杂志”快速关注本刊官微
作者:姜婷
作者单位:北京大学口腔医学院·口腔医院修复科 国家口腔医学中心 国家口腔疾病临床医学研究中心 口腔生物材料和数字诊疗装备国家工程研究中心 口腔数字医学北京市重点实验室
引用本文:姜婷. 咀嚼肌功能紊乱和修复专科处理[J]. 中华口腔医学杂志, 2022, 57(7): 682-687. DOI: 10.3760/cma.j.cn112144-20220408-00163.
咀嚼肌功能紊乱(masticatory muscle disorders,MMD)是颞下颌关节紊乱病各亚型中发病率较高的一类疾病,包括局部肌纤维痛、肌筋膜痛等诊断,表现为咀嚼肌局部疼痛,可在下颌功能活动时加重。MMD是多因素复合致病,咬合异常如咬合创伤、𬌗干扰和咬合垂直距离过低等存在诱发或加重MMD的潜在风险,口腔修复治疗中需注意避免引起医源性咬合异常。多数患者的MMD症状可通过综合治疗得以缓解,而口腔修复医师可通过咬合治疗对MMD进行辅助诊断和辅助治疗,通过咬合板、调𬌗、义齿修复等手段达到缓解咀嚼肌张力、稳定咬合支持、消除𬌗干扰、调整颌位关系等目的,排除MMD的部分风险因素并缩短病程。
口腔修复临床时有口颌面痛患者就诊,可因咬合问题或牙齿缺失从颞下颌关节紊乱病门诊或口颌面疼痛专科转诊,也可因义齿修复后出现口颌面疼痛、咬合不适等症状求治。这些口颌面痛是否与口腔修复相关以及如何通过准确的修复专科处理达到预防口颌面痛以及进行咬合治疗的目的,是口腔修复医师关心的问题。
口颌面痛发病机制复杂,影响因素众多,诊断、治疗、预期疗效等存在诸多不确定性[1],其可来源于颞下颌关节、咀嚼肌、神经、牙齿等多个口颌面部组织,其中咀嚼肌功能紊乱(masticatory muscle disorders,MMD)是以口颌面部疼痛和下颌运动异常为特征的涉及咀嚼肌的病理状态。咀嚼肌相关疾病的诊断不同于颞下颌关节内部的疾病,其在颞下颌关节紊乱病(temporomandibular disorders,TMD)亚型中占比最大(45.3%),甚至高于关节盘移位(41.1%)[2]。咀嚼肌主要由咬肌、颞肌、翼内肌等升颌肌群和二腹肌、下颌舌骨肌、颏舌骨肌等降颌肌群以及翼外肌等侧方运动肌群组成,可直接作用于颞下颌关节盘和髁突,从而影响颞下颌关节的结构和功能。同时,由于三叉神经对咀嚼肌与头部、耳鼻等组织的支配有所重叠,且头颈部肌群和骨结构间可通过骨链和肌链的作用达到功能协调[3],因此MMD有时可伴头颈背等部位的异常症状,这些异常症状也可随MMD的缓解而缓解[4, 5]。然而,咀嚼肌问题常得不到临床医师的充分认识。部分口腔修复患者存在明确的TMD症状,包括口颌面疼痛、关节杂音或弹响、开口受限等;但也有部分患者仅出现咀嚼肌及其周围肌的疲劳不适、感觉异常等症状[6]。本文结合MMD学术共识和笔者的研究结果及临床治疗体会,对口腔修复临床咬合问题与MMD之间的关系进行分析。
1.MMD的致病因素:MMD为多因素复合致病[7],可为自身原因(内源性)或外来刺激(外源性),也可为解剖生理因素和社会心理因素。颞下颌关节、咀嚼肌、关节囊和韧带等自身解剖结构和紧张度存在个体差异,神经调节功能等也可影响个体的适应性和易感性。有学者认为关节结节后斜面较平坦者的颞下颌关节盘容易滑动,进而使关节盘-髁突的相对位置关系容易发生变化;关节结节后斜面较陡时,髁突运动中转动多于滑动,前伸和侧方运动时肌张力较大,关节韧带易受到牵拉[8]。个体易感性(中枢和外周神经系统敏化)、受遗传影响的身体特征(如疼痛调节和药物基因组学)等均可能与患者心理状态相互作用,影响疾病的发生发展。文化、压力等环境因素亦可影响患者的适应能力,女性因激素水平、伤害感受以及社会环境等作用而表现为MMD高发生率[9]。另外,咀嚼肌受到外伤、微小创伤如过度和长时间大张口、拔牙创伤以及下牙槽神经阻滞麻醉引起翼内肌损伤等、夜磨牙症和紧咬牙等副功能运动、咬合异常、不当正畸治疗、不良修复体等因素刺激均可诱发MMD。
2.MMD与咬合异常的关系:咬合异常仅是TMD病因中局部生物学因素之一,也被认为是引发、延续TMD(包括MMD)的风险因素[10, 11]。
已有学者报道,咬合异常在TMD致病因素中占4.8%~27.1%[12]。口腔修复临床常见的咬合异常为咬合创伤、𬌗干扰、咬合垂直距离(vertical dimension of occlusion,VDO)降低、颌位不稳定、咬合支持丧失等。咬合创伤是过大𬌗力引起局部牙周支持组织病理性改变的病理状态,部分患者可出现咀嚼肌酸痛、疲劳等症状和头痛[13, 14]。人体有较强的适应能力,包括牙周组织弹性和咀嚼肌张力改变、颞下颌关节内部弹性组织缓冲以及髁突改建等[15],外伤或充填体及修复体咬合高点等外源性因素刺激下,若超出患者的生理适应范围则易出现MMD症状。𬌗干扰是公认的可能导致TMD的咬合异常风险因素。𬌗干扰指阻碍稳定咬合接触的高点或咬合不良[16]。天然牙出现非工作侧接触则咀嚼肌无法得到松弛而易产生肌疲劳[17]。VDO降低是中老年患者较常见的咬合异常。VDO降低可引起髁突及下颌后移,关节间隙改变,咀嚼时升颌肌群过度收缩,肌纤维得不到拉伸而出现疲劳[18, 19]。降低的VDO可通过义齿修复得以恢复,患者对失而复得的VDO多可适应,但若恢复的VDO高度超出生理适应范围,则可引起口颌系统功能异常。咬合异常可导致MMD,反之,MMD也可通过肌平衡的失调表现为咬合紊乱。
美国口颌面疼痛协会(American Academy of Pain,AAOP)将MMD分为局部肌纤维痛(local myalgia)、肌筋膜痛(myofascial pain)、中枢介导的肌纤维痛(centrally mediated myalgia)、肌痉挛(myospasm)等亚型[20]。2014年国际牙科研究会将原TMD研究诊断标准(the research diagnostic criteria for TMD,RDC/TMD)扩展为TMD诊断标准(the diagnostic criteria for TMD,DC/TMD)[21],增加了心理领域和疼痛的评价,包括用广泛性焦虑症-7(generalized anxiety disorder 7,GAD-7)、患者健康-15(patient health questionnaire-15,PHQ-15)等问卷,评估患者的抑郁、焦虑、身体症状。这一诊断体系包括肌纤维痛、关节痛、关节盘移位、骨关节病、骨关节炎、关节退行性病变和关节半脱位等;其中又将肌纤维痛经验性地分为3种临床亚型,分别是局部肌纤维痛、肌筋膜痛和牵涉性肌筋膜痛(myofascial pain with referral)。鉴别手段为以约9.8 N的压力对咬肌和颞肌进行5 s触诊,根据疼痛情况进行诊断。局部肌纤维痛的诊断标准包括症状(病史询问)和体征(临床检查)两个方面。症状必须具备以下两项:①下颌、太阳穴、耳内或耳前区疼痛;②下颌运动、功能活动或副功能运动时疼痛改变。体征包括:①可确定疼痛位于颞肌或咬肌内;②颞肌或咬肌触诊疼痛;③疼痛局限于触诊局部。肌筋膜痛的疼痛位置一般超越触诊范围但局限于肌纤维束内,伴或不伴开口受限;而牵涉性肌筋膜痛的疼痛范围超过触诊肌束区域,常为全身性肌纤维痛、心理因素相关疾病或其他器官疾病的局部表现。2019年新的口面痛国际分类(International Classification of Orofacial Pain,ICOP)发布[2,22],使用了新术语——肌筋膜口面痛(myofascial orofacial pain,MOP)以涵盖口面部区域的所有MMD。该分类根据病因将MOP分为原发性和继发性,原发性MOP分为急性和慢性。慢性原发性MOP进一步分为不频繁、频繁(有无牵涉痛)和高频发生等几种形式。原发性MOP的诊断标准包括单发、多发或持续发生于下颌、太阳穴、耳部和(或)耳前,有颞肌和(或)咬肌疼痛,或疼痛由颞肌触诊触发,或主动或被动由最大张口诱发。疼痛程度在下颌功能运动或副功能运动(如夜磨牙症或紧咬牙)时有所变化。原发性MOP每次发病持续至少30 min,全天总持续时间超过2 h,疼痛可能增加或减少。继发性MOP为由潜在性疾病(炎症、感染或肌肉痉挛)引起的肌筋膜疼痛。
咀嚼肌疼痛和关节疼痛的部位不同,表现不同,可通过病史和临床检查(评价疼痛部位和深度、与强力咬合的关系、开口度、被动开口度、下颌功能、关节结构、骨质变化等)进行诊断和鉴别诊断[1,20]。
MMD病因复杂,临床表现多样,治疗方法也较多。MMD的治疗目的首先是缓解咀嚼肌疼痛和改善下颌运动障碍,治疗原则首选可逆性、非侵害性的治疗方法。MMD的主要治疗手段及其相应生物学效应如下:①患者教育,可减轻咀嚼肌紧张和活动,放松心理,控制行为,调整头颈姿势;②家庭理疗,可缓解肌痛,减轻炎症,促进肌活动协调和软组织再生;③门诊理疗,红外线+钙离子导入可调节肌张力,超短波、超声波或激光治疗减轻炎症,缓解肌紧张,增加血流量;④肌内注射麻醉药(2%普鲁卡因)封闭可减轻疼痛,缓解肌紧张;⑤低能量激光治疗,有麻醉、抗炎、促进组织再生效果,钝化面肌致痛点;⑥经皮神经电刺激疗法,可促进外周愈合,刺激内源性调节;⑦肉毒杆菌毒素注射,可暂时性减弱肌收缩,控制外周敏感性;⑧药物治疗,非甾体抗炎药可减轻疼痛和炎症,环苯扎林或替扎尼定可促进与抗伤害感受效应相关的肌肉松弛,三环类抗抑郁药可通过增加血清素和(或)去甲肾上腺素水平控制疼痛;⑨咬合治疗,咬合板可缓解肌张力、调整神经肌活动、激发认知意识,调𬌗、咬合重建等可消除咬合高点和咬合创伤,稳定咬合,恢复VDO;⑩开闭口训练,控制下颌在颞下颌关节铰链轴范围内开闭口,避免大张口,减轻关节弹响和咀嚼肌症状[20]。多数MMD症状可通过综合治疗如开闭口训练、经皮神经电刺激疗法、激光治疗等得以缓解[2,23]。
若为咬合异常导致的MMD,则可开展针对性修复专科处理。使用咬合板缓解症状以及后续为稳定疗效而进行的义齿修复是主要的咬合治疗内容,是修复医师可实施的专科治疗[24, 25, 26]。咬合治疗针对的不是骨关节病,而主要针对MMD,通过治疗达到调整肌张力(肌松弛)和颌位、升高VDO、稳定咬合、消除干扰、调整关节内结构关系等目的,能排除部分风险因素并缩短MMD病程。并非所有MMD症状均适合进行咬合治疗,中枢介导的肌筋膜痛、与心理因素相关的口颌面痛、牵涉性疼痛等与咬合异常无关,需进行综合治疗,可采用心理-社会干预治疗、认知行为疗法、自我护理治疗等手段[20]。
咬合治疗包括两个阶段:第一阶段为可逆性诊断性治疗,包括咬合板调节肌张力、诊断性升高VDO、调整颌位、消除𬌗干扰和咬合创伤,修复体上调𬌗(见典型病例1~3);第二阶段为非可逆性治疗,包括天然牙调𬌗、义齿修复、咬合重建等[25,27](见典型病例3、4)。经过第一阶段可逆性诊断性治疗,患者MMD症状明显改善后,在充分的医患沟通和患者知情同意条件下,才可进入第二阶段非可逆性治疗,以稳定治疗效果,恢复口腔功能。
典型病例1和2示解除医源性咬合创伤后MMD症状得以缓解;典型病例3示去除𬌗干扰后咀嚼肌和头部症状得以缓解;典型病例4示升高VDO后用固定修复方式恢复稳定的咬合接触。
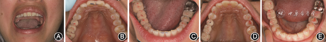
1.典型病例1:见图1。患者女性,43岁,主诉右侧后牙烤瓷修复后右侧面部开口痛和咀嚼痛3个月。口外检查见愁苦面容,开口末期下颌向右侧偏斜,紧咬牙时右侧颞下颌关节前区及咬肌区疼痛,无关节区触压痛和弹响;右侧上下颌后牙烤瓷固定桥修复,有咬合高点,下颌前伸时右侧第三磨牙有咬合接触。诊断:修复体咬合早接触和𬌗干扰,MMD。治疗过程:患者充分知情同意后在修复体上进行诊断性咬合调改,去除咬合高点,牙尖交错位双侧咬合接触基本均匀,无前伸𬌗干扰。调磨后1周患者面部痛及咀嚼痛消失,随访1年症状无复发。
图1 咀嚼肌功能紊乱患者(典型病例1)去除咬合早接触缓解病情的诊疗过程 A:开口末期下颌向右侧偏斜;B:治疗前上颌𬌗面像;C:治疗前下颌𬌗面像,可见右侧上下颌后牙烤瓷固定桥有咬合高点;D:治疗后上颌𬌗面像;E:治疗后下颌𬌗面像,对修复体上进行诊断性咬合调改,去除咬合高点,治疗后牙尖交错位咬合时左右侧咬合接触基本均匀,无前伸𬌗干扰
2.典型病例2:见图2。患者女性,30岁,主诉46冠修复后右侧头枕部疼痛1周。口内检查见46烤瓷冠舌尖颊斜面及远中边缘嵴有咬合高点,习惯性闭口位咬合时下颌轻微滑动。影像学检查未见颞下颌关节器质性病变和关节间隙异常。诊断:46牙体缺损,修复体𬌗干扰,MMD。治疗过程:患者知情同意后调磨修复体早接触点。调𬌗后患者咬合时头部疼痛症状即刻消失,1周后症状无复发。
图2 咀嚼肌功能紊乱患者(典型病例2)去除咬合早接触的诊疗过程 A:治疗前右侧口内像,可见46烤瓷冠舌尖颊斜面及远中边缘嵴有咬合高点;B:治疗后右侧口内像
3.典型病例3:见图3。患者女性,60岁,主诉前牙烤瓷冠修复后牙齿有严重受压感,难以忍受1年,多次更换修复体依然咬紧无法放松,面部紧张并时有头部闷痛,无法确定咬合位置,睡觉时右侧后牙持续咬合。临床检查显示无颞下颌关节区触压痛和弹响,上颌前牙为全瓷冠,习惯性闭口位咬合时上前牙切缘舌侧有咬合高点。下颌前伸时无法到达切牙对刃,两侧前磨牙咬合接触形成前伸𬌗干扰。诊断:牙体缺损,𬌗干扰,MMD。治疗过程:将研究模型通过面弓转移上𬌗架后进行诊断性咬合预调改,确认能消除𬌗干扰的模拟效果,取得患者知情同意后调磨修复体咬合高点,实现下颌前伸时前牙可完成中切牙对刃接触,调磨上下颌前磨牙牙尖消除前伸𬌗干扰(通过咬合纸可抽出加以确认)。调𬌗后症状缓解,拆除修复体后重新修复。
图3 咀嚼肌功能紊乱患者(典型病例3)去除𬌗干扰缓解咀嚼肌症状的诊疗过程 A:治疗前正面𬌗像,示上颌前牙为全瓷冠,习惯性闭口位咬合时上前牙切缘舌侧有咬合高点;B:治疗前上颌𬌗面像,示咬合高点位于切缘舌侧;C:治疗前前伸位𬌗像,示两侧前磨牙咬合接触形成前伸𬌗干扰;D:调磨修复体后上颌𬌗面像;E:调磨修复体后前伸位𬌗像,示下颌可接触滑动到中切牙对刃;F:调磨修复体后前伸位正面像,调磨上下颌前磨牙牙尖消除前伸𬌗干扰(通过下颌前伸至切牙对刃时咬合纸可抽出确认)
4.典型病例4:见图4。患者女性,40岁,主诉双侧颞下颌关节疼痛、弹响、后牙咀嚼无力。口外检查可见双侧颞下颌关节开口初弹响及关节区压痛(+),右侧咬肌区触压痛(+)。口内检查见前牙深覆𬌗,散在间隙,诊断为TMD可复性盘前移位、MMD、VDO降低。用下颌全牙列稳定性咬合板升高VDO 3 mm,3个月后进行口颌面功能再评估;再用𬌗贴面升高后牙临床冠高度,用唇贴面关闭前牙间隙。修复重建1年后复查,颞下颌关节症状好转但偶有疼痛。经过数字化咬合检查(T-Scan Ⅲ)发现𬌗力重心偏左。随后在口内调改咬合至两侧相同。咬合重建2及5年后复查症状无复发。
图4 咀嚼肌功能紊乱患者(典型病例4)升高咬合垂直距离缓解咀嚼肌症状的诊疗过程 A:治疗前正面𬌗像;B:戴用咬合板后正面𬌗像,升高咬合垂直距离3 mm;C:修复后1年正面𬌗像;D:复查时通过数字化咬合检查进行咬合调改,直至𬌗力重心基本无偏斜
咀嚼肌由三叉神经支配,调节精细,通常可适应长时间频繁的功能性收缩,有较强的抗疲劳性能。但咀嚼肌的细小肌肉纤维易受损伤[2]。各种内外刺激如机械刺激、温度变化、身心压力、环境压力、外伤及炎性刺激均可诱发咀嚼肌的病理状态[28]。咬合异常、咀嚼过度、过度大张口、频繁性强迫性反复咬合、口腔副功能运动等均可造成咀嚼肌的过度使用,而咀嚼肌过强收缩可造成肌内压力升高、乙酰胆碱等代谢物质堆积出现酸性环境后出现疼痛[2]。
临床上有理想咬合的人并不多见,咬合异常并非一定引起咀嚼系统功能异常。仅当咬合异常的程度超出身体适应范围并且在一定的内外因刺激诱发下破坏生理性平衡时,该个体才可能发展为病理性咬合状态,继而出现咀嚼器官的不适症状。因此,临床接诊MMD患者时,应首先明确诊断,即明确是否有MMD以及咬合是否处于病理性状态。只有两者并存时才能按照先可逆性治疗,确认治疗效果后,再非可逆性治疗的程序进行相应咬合治疗。
咬合创伤常发生于牙齿重度磨耗后咬合不均匀、过陡牙尖、长期缺牙后邻牙倾斜和对颌牙过长、智齿倾斜阻生、牙周炎牙齿移位、外伤、充填体或修复体咬合高点等外源性刺激等情况下。因此,临床中应避免医源性咬合创伤。临床对修复体调𬌗时常关注患者习惯性闭口位的咬合接触,易忽略下颌非正中运动时的𬌗干扰,尤其是以天然牙和种植体支持为主的修复体,必须消除前伸或侧方运动时的后牙或非工作侧牙尖接触。形成前伸运动𬌗干扰的情况多见于纵𬌗曲线(施佩曲线)过陡或过平、前牙开𬌗致切导不充分、智齿过长或磨牙移位、正畸后前磨牙高于𬌗平面等情况,而侧方运动𬌗干扰多见于牙齿倾斜、过长或不良修复体等情况。
在进行咬合治疗时必须尽量减少对天然牙的调磨,可先于修复体、临时冠、咬合板等可逆性承托物上进行咬合调整,再进展到基牙预备等非可逆性治疗阶段。需要进行基牙预备前必须完善知情同意手续,医患沟通不充分可造成患者在基牙预备后产生心理应激、基牙预备后咬合支持和颌位不稳定、长时间大张口造成升颌肌疲劳等,这些均可诱发和加剧咀嚼肌的疲劳不适症状。个别解剖结构薄弱、心理适应性差的敏感个体,可能因医源性咬合改变或外因刺激超出个体适应能力而出现MMD症状。因此,咬合治疗前充分的医患沟通是避免出现类似心理问题相关疼痛的重要措施。在可逆性咬合治疗获得稳定效果后,才可根据修复适应证开始非可逆性修复过程。
利益冲突 作者声明不存在利益冲突
(参考文献略)
姜婷 主任医师、教授、博士研究生导师。现任北京口腔医学会颞下颌关节病专业委员会常务委员。从事口腔修复学和学相关的医教研工作及临床咬合、口腔粘接修复、骨组织再生等方面科学研究。获得北京市科技二等奖1项、三等奖2项,承担多项国家及省部级科研项目,发表专业论文100篇。主编和参编专业书籍及翻译专业书籍17部,包括《全口咬合重建》《实用口腔粘接修复技术图谱》等。2015年获得北京大学医学部“优秀教师”称号,多次荣获北大口腔医院先进工作者。