b超md是什么意思ct、核磁、b超有什么区别,工作原理是什么?看完涨知识

新闻资讯2026-04-23 14:06:00

简单的说,CT、核磁、B超都是通过透视人体内部结构和器官,根据与正常生理状态的比较,来诊断疾病的设备,是现代医疗的重要诊断手段,而且这些设备在未来会越来越精密,对人类健康和疾病起着越来越重要的作用。

b超md是什么意思ct、核磁、b超有什么区别,工作原理是什么?看完涨知识_https://www.jmylbn.com_新闻资讯_第1张

这几种设备都是人类采用现代物理学的发现研究成果,利用某些媒介穿越人体,获得人体内部影像,通过影像来分析诊断健康状态的。它们最大的区别就是采用穿越人体的介质不一样,由此形成诊断的部位和效果也有区别。

现在我们来分别了解一下这三种设备利用的基本情况:

CT检查

CT是英文Computed Tomography的简称,译意是电子计算机断层扫描。主要采用的检查介质是X射线,通过X射线对身体的穿透性扫描,通过高度灵敏的探测器,得到被扫描部位的影像,具有扫描快,图像清晰的特点。

b超md是什么意思ct、核磁、b超有什么区别,工作原理是什么?看完涨知识_https://www.jmylbn.com_新闻资讯_第2张

X射线是高能量的电磁波,也是光的一段波段,因此又叫X光。我们人眼能看见的可见光,波长约380~780nm(纳米)之间,X射线波长极短,只有0.001~100nm,频率也极高,在10^16Hz以上,能量是可见光的几万倍到几十万倍,因此对人体细胞、DNA会产生伤害。

X射线穿透力极强,在穿透人体时,会根据人体不同组织不同密度形成不同吸收率,在感光胶片上留下灰度不同的黑白影像,医生就可以通过观察分析这些影像,得到人体内部组织的状态,从而做出疾病的诊断。

b超md是什么意思ct、核磁、b超有什么区别,工作原理是什么?看完涨知识_https://www.jmylbn.com_新闻资讯_第3张

CT就是在X光透视基础上发展起来的,CT则是通过旋转装置,将人体就像切萝卜片一样进行断层扫描,灵敏度极高的探测器通过旋转装置,接收到穿透的射线,将获得的数据输入到计算机,通过计算机解码后重建图像。

CT设备的主要组成结构有三大部分,即:扫描部分,由X线管、探测器和扫描架组成;计算机系统,将扫描收集到的信息数据进行贮存运算;图像显示和存储系统,将经计算机处理、重建的图像显示在电视屏上或用多幅照相机或激光照相机将图像摄下,用于医生观察。

b超md是什么意思ct、核磁、b超有什么区别,工作原理是什么?看完涨知识_https://www.jmylbn.com_新闻资讯_第4张

现在的CT设备已经从最开始的第一代,更新到了第五代,从最开始扫描面积很小,扫描时间长(需要数秒),探测器少(只有一两个),分辨率很低,到如今扫描面积扩大很多,空间分辨率可达0.4mm(毫米),扫描时间缩短到40ms(毫秒),扫描64层图像只需要330ms。

扫描的方式从开始只能平移,到现在能够做平扫、增强扫描和造影扫描,还可以实现三维立体动态图像。

核磁共振成像检查

核磁共振成像检查又称自旋成像,也称磁共振成像,是英文Magnetic Resonance Imaging的译意,简称MRI。核磁共振成像是从原子层面,通过外加梯度磁场检测其物理变化,而绘制出来物体内部结构图像,是一个很复杂的过程,作为科普就不讲得那么深了。

b超md是什么意思ct、核磁、b超有什么区别,工作原理是什么?看完涨知识_https://www.jmylbn.com_新闻资讯_第5张

为了大家便于理解,引用部分成像原理如下:

原子核自旋,有角动量。由于核带电荷,它们的自旋就产生磁矩。当原子核置于静磁场中,本来是随机取向的双极磁体受磁场力的作用,与磁场作同一取向。以质子即氢的主要同位素为例,它只能有两种基本状态:取向“平行”和“反向平行”,他们分别对应于低能和高能状态。精确分析证明,自旋并不完全与磁场趋向一致,而是倾斜一个角度θ。这样,双极磁体开始环绕磁场进动。进动的频率取决于磁场强度。也与原子核类型有关。它们之间的关系满足拉莫尔关系:ω0=γB0,即进动角频率ω0是磁场强度B0与磁旋比γ的积。γ是每种核素的一个基本物理常数。氢的主要同位素,质子,在人体中丰度大,而且它的磁矩便于检测,因此最适合从它得到核磁共振图像。

从宏观上看,作进动的磁矩集合中,相位是随机的。它们的合成取向就形成宏观磁化,以磁矩M表示。就是这个宏观磁矩在接收线圈中产生核磁共振信号。在大量氢核中,约有一半略多一点处于低等状态。可以证明,处于两种基本能量状态的核子之间存在动态平衡,平衡状态由磁场和温度决定。当从较低能量状态向较高能量状态跃迁的核子数等于从较高能量状态到较低能量状态的核子数时,就达到“热平衡”。如果向磁矩施加符合拉莫尔频率的射频能量,而这个能量等于较高和较低两种基本能量状态间磁场能量的差值,就能使磁矩从能量较低的“平行”状态跳到能量较高“反向平行”状态,就发生共振。

我们现在来通俗简单理解一下:人体中含有60~70%的水分,这些水分分布在每一个细胞和各种组织器官中,不同的组织器官含水量是不一样的。有人比喻核磁共振成像有点像抓起一瓶水摇一摇,然后查看被摇起的气泡变化情况。

b超md是什么意思ct、核磁、b超有什么区别,工作原理是什么?看完涨知识_https://www.jmylbn.com_新闻资讯_第6张

平常情况下,每个水分子的磁场磁力线方向是随机的,当在核磁共振强大的磁场作用下,这些水分子的磁场磁力线会呈现出一致性,当磁场消失,这些水分子磁力线又会恢复随机状态。核磁共振就是通过发出磁场和停止磁场的交替过程,收集人体磁场磁力线变化数据,通过计算机复杂的运算,重建成像。

磁共振设备主要由三大基本构件组成,即:磁体部分,由主磁体(产生强大的静磁场)、补偿线圈(校正线圈)、射频线圈和梯度线圈组成;磁共振波谱仪部分,主要包括射频发射部分和一套磁共振信号的接收系统组成;数据处理和图像重建部分,由信号变换器、暂存器、图像处理机、控制台、显示器等组成。

核磁共振所采用的磁场是很强的,一般在1.5T~3T之间。T(特斯拉)是磁场的很高的磁场强度单位,1T等于10000Gs(高斯),而地球磁场赤道只有0.3Gs,南北极有0.6Gs,最强的铷磁铁磁场强度也只有300Gs,因此,核磁共振的磁场强度是地球约50000倍,是最强磁铁的100倍。

b超md是什么意思ct、核磁、b超有什么区别,工作原理是什么?看完涨知识_https://www.jmylbn.com_新闻资讯_第7张

这就是做磁共振检查时要特别注意身上不得有金属品,室内也不能有金属器械的原因,如果有这些东西,一旦开动磁共振设备,就会出现事故。韩国《朝鲜日报》就报道过一次此类事故,今年10月14日下午,有一位患者在韩国庆尚道金海市综合医院接受磁共振检查时,就突然被设备形成的强大磁场吸入一个金属氧气瓶,将患者活活卡死。

磁共振如此强大的磁力,却对人体没有什么损害和影响,因此是最安全的检查。这也从另一个角度破除了磁铁能治病的迷信,那些弄几块磁铁在鞋底或床垫上,就包治百病的宣传,其实就是江湖骗子们的噱头,希望看了此文后,大家切勿再去上当。

B超影像检查

所谓B超,就是利用超声波为介质,通过超声波穿越人体的回波成像,诊断疾病的技术。

凡是波都是有频率的,频率就是每秒钟振动的次数。人的耳朵能够听到的声音频率在20~20000Hz之间,低于这个频率的声波叫次声波,高于这个频率的声波叫超声波。次声波和超声波是人耳听不见的,但通过人造的相关仪器,就可以让这些声波显形。

b超md是什么意思ct、核磁、b超有什么区别,工作原理是什么?看完涨知识_https://www.jmylbn.com_新闻资讯_第8张

由于超声波有良好的穿透性和各向异性,就可以通过吸收、反射、折射、衍射等特性,对物体内部进行成像。在医学上,超声波检查的工作原理是将超声波发射到人体内,它在体内遇到各种界面就会发生反射及折射,并在不同的组织中被不同程度的吸收和衰减,这些过程通过仪器就会反映出不同的波形、曲线和影像,医生就可以通过分析这些影像来诊断疾病。

利用超声波的诊断技术分为A、B、C、D型。以声波振幅形式诊断疾病称为“一维显示”,因为振幅英文Amplitude的第一个字母为“A”,又称A超;而以灰阶亮度模式诊断疾病称为“二维显示”,亮度的英文Brightness的第一个字母为“B”,又称B超。M型和D型诊断疾病方式一般分别用于检查心脏和血流的,又叫超声心动图和多普勒超声诊断法,这里就不展开说了。

b超md是什么意思ct、核磁、b超有什么区别,工作原理是什么?看完涨知识_https://www.jmylbn.com_新闻资讯_第9张

B超检查设备主要由探头、主机、电源、显示器、壳体及外设组成。其中,探头部分,由晶片、吸声块、匹配层、吸声块组成;主机和显示器,由处理信息的计算机和显示器组成,用来接收探头收集的信息,通过计算和处理,将各种数据转换成图像,通过显示器显示出来,或打印出来;电源和壳体,就是为主机和探头提供能量和保护的辅助设施。

B超诊断技术现在应用越来越广泛,如内窥镜超声、超声造影、三维成像、弹性成像等等,起着越来越重要作用。

三种方法的主要利弊

b超md是什么意思ct、核磁、b超有什么区别,工作原理是什么?看完涨知识_https://www.jmylbn.com_新闻资讯_第10张

B超检查

方便快捷,相对价格便宜、无创无辐射性,可以连续动态重复扫描,是实质性脏器和含液器官,如腹部、肝肾、膀胱、盆腔等部位的首选检查方法;但超声检查容易受气体与骨骼阻隔,因此不适合做肺部、消化道、骨骼的检查,不过现在的超声内窥镜可以一定程度克服了这些缺陷。

而且超声检查受操作者的素养、经验、检查技巧、认真程度影响较大,诊断结果的确定性受到一定影响。

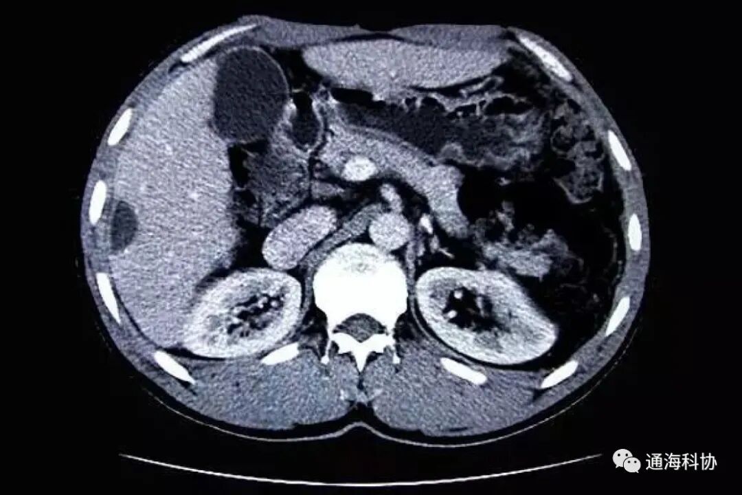
CT检查

可以看到病灶细节,精确度高,诊断结果确定度更高,是确诊头部、胸部、心脏、骨骼四肢等部位疾病的首选;但部分骨骼伪影较多,影响周围软组织结构的显示,如颅底部及椎管等,而且受呼吸运动影响,容易漏诊小的病灶,如肺部肝部小病灶等。b超md是什么意思ct、核磁、b超有什么区别,工作原理是什么?看完涨知识_https://www.jmylbn.com_新闻资讯_第11张

而且X射线是对人体有伤害的高能射线,不宜长时间或频繁检查,一些有严重疾病的患者,如严重的肝肾功能不全、甲亢、哮喘、某些过敏性病变等,不适宜这种检查。

核磁共振

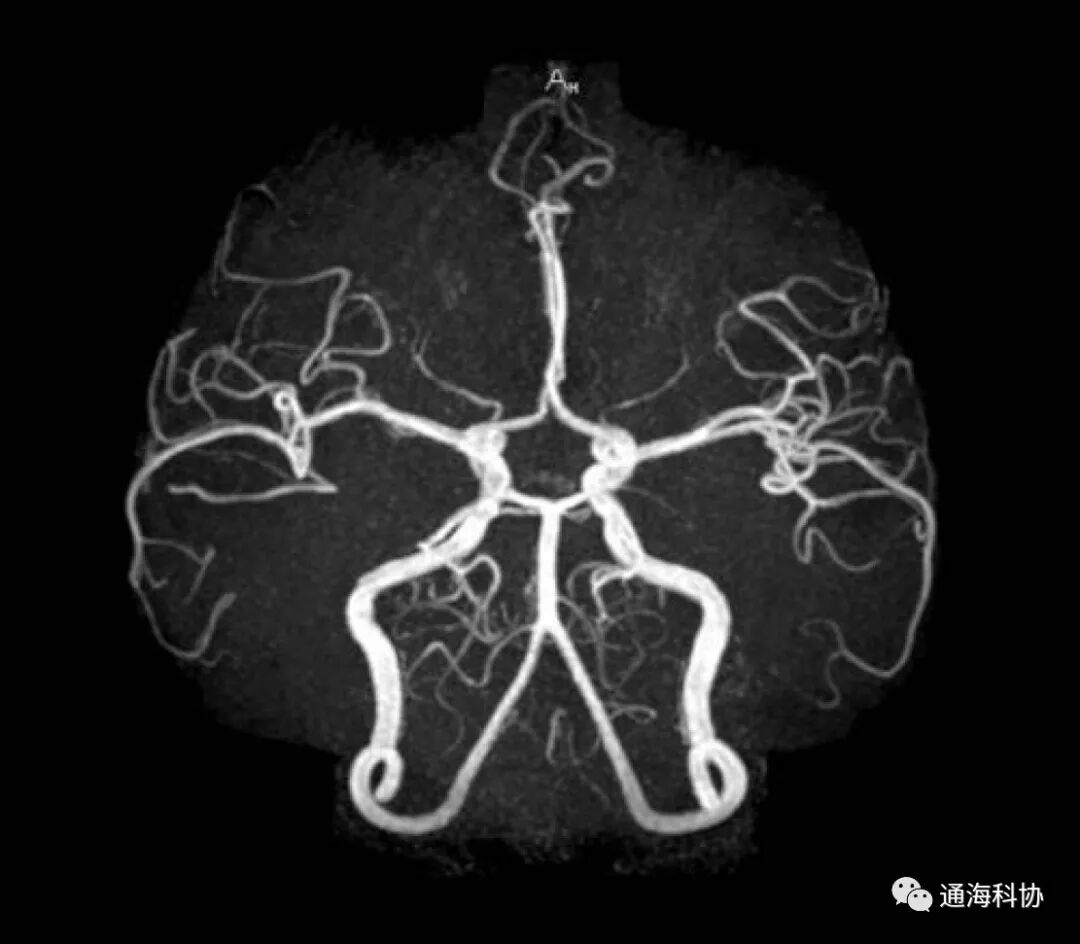
对早期诊断敏感,在一些病变早期时就能够显示出异常,能够早于CT和B超等方法发现问题,比较适宜对头颅、脊髓、骨骼、四肢等检查,如头部检查,由于没有骨骼伪影的影响,因此对颅底、椎管检查效果尤其好。相对CT还弥补了其不能直接多平面成像的缺陷,不需要注射造影剂就能够形成血管造影,对病灶显示的更为清晰。

b超md是什么意思ct、核磁、b超有什么区别,工作原理是什么?看完涨知识_https://www.jmylbn.com_新闻资讯_第12张

缺点:成像方式复杂,价格相对更为昂贵,一般不作为疾病诊断的首选;由于急救设备不能进入核磁共振室,因此此项检查一般不适宜特别危重病人;磁共振对胎儿不利,因此孕妇不能采用这项检查;身体内有金属植入(如装有心脏起搏器、某些支架)的患者,也不能进行这项检查;磁共振显示病灶钙化和骨皮的影像质量较差,因此不适合骨折等病情影像诊断。

看了以上介绍,大家对CT、磁共振、B超检查的特点和利弊应该有一定了解吧,以后大家要做什么检查,就可根据不同需要来选择了。当然最重要的还是要听医生的,你说呢?欢迎讨论,感谢阅读。

时空通讯原创版权,侵权抄袭是不道德的行为,敬请理解合作。