BV唾液酸酶是什么加德纳属修订:3个新种及13个基因种

新闻资讯2026-04-23 14:04:47

作者:李顺光

单位:广州中医药大学第二临床学院

           2022级研究生




       加特纳菌属(Gardnerella)是一种菌体形态呈多样性的细小杆菌或球菌,与细菌性阴道病(bacterial vaginosis,BV)密切相关。长期以来,加特纳菌属被认为只包含唯一一个菌种,即阴道加特纳菌(G. vaginalis)。但在2019年,Mario Vaneechoutte对加德纳属进行修订,在修订阴道加特纳菌特征的基础上,还新描述了利奥波德加特纳菌G.  leopoldii)、皮奥特加德纳菌Gpiotii)和斯威津斯基加德纳菌G. swidsinskii)等3个新种;此外,通过基因组分析,还发现了13个未正式命名的基因种,报道如下:


BV唾液酸酶是什么加德纳属修订:3个新种及13个基因种_https://www.jmylbn.com_新闻资讯_第1张

   图1、 LPSN显示加德纳属及所有菌种





一、生物学特性

      阴道加德纳菌为革兰阳性菌,细胞壁只含一层肽聚糖。因此用标准的革兰染色,显微镜下观察,菌体呈多样性、细小杆菌或球菌,革兰染色不定。无荚膜,无鞭毛,无芽孢。兼性厌氧、营养要求较高。在人或兔血琼脂培养基上孵育48~72小时可产生β溶血,而在含有其他动物血的平板上不产生溶血。该菌在35℃及5%CO2孵育24小时后形成极小的灰白色菌落(<0.5mm),圆形、光滑、不透明菌落。氧化酶、触酶阴性,无动力,大多数菌株能水解马尿酸钠,分解葡萄糖、麦芽糖、蔗糖、淀粉产酸,不发酵甘露醇,不产生吲哚,不还原硝酸盐。

 

BV唾液酸酶是什么加德纳属修订:3个新种及13个基因种_https://www.jmylbn.com_新闻资讯_第2张

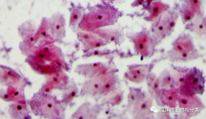
 图2、阴道加德纳菌相关的BV病细胞形态图

       在临床意义上,阴道加德纳菌被认为与BV有关(图2),该菌的分离可支持BV的诊断。BV的诊断依据是:(1)均匀一致的阴道分泌物。(2)分泌物pH>4.5。(3)分泌物加10%氢氧化钾出现胺味(鱼腥臭味)。(4)阴道分泌物革兰染色后见革兰阳性杆菌,或湿片见线索细胞(即覆盖有革兰染色不定小杆菌的阴道上皮细胞)。符合以上标准中任何3项(最后一项是必须的)即可诊断。

      但需要注意的是,阴道加德纳菌作为一种定植菌,也可正常存在于健康男女及儿童的肛门和直肠中,同时也是怀孕妇女阴道内菌群的一部分。目前认为,除引起BV外,阴道加德纳菌也与孕妇产前、产后的一系列感染有相关性。另外,在患BV妇女的男性伴侣的尿道中也可发现此菌,但与男性疾病的相关性尚不明确。





二、分类学地位修订史

      加德纳菌属最初的发现可以追溯到1953年,当时利奥波德(Leopold)将这种微生物描述为一种与前列腺炎和宫颈炎相关的“嗜血杆菌样微生物(Haemophilus-like organisms)[1]。 1955年,Gardner和Dukes描述了这种微生物与BV的关系,将这种细菌命名为阴道嗜血杆菌(Haemophilus vaginalis)[2]。但由于该菌种不需要血红素(X因子),烟酰胺腺嘌呤二核苷酸(V因子),或任何其他辅酶样生长因子,与嗜血杆菌属的定义明显冲突[3]。后经DNA-DNA杂交表明,阴道嗜血杆菌和嗜血杆菌属之间没有遗传关系,并最终更名为现在的加德纳菌属(Gardnerella)。

      近年来,分子遗传学的发展为加德纳菌属的遗传异质性和分类学多样性提供了新的线索。Vaneechoutte及其同事在2019年对81株加德纳属菌株进行了全基因组序列分析实验。研究人员指出,但在之前被定义的阴道加特纳菌中,至少有13个不同的类群存在,且足以被划分为单独的物种。该研究是该领域的一个重要突破,其在修订阴道加特纳菌的同时,命名了利奥波德加特纳菌G.  leopoldii)、皮奥特加德纳菌G.  piotii)和斯威津斯基加德纳菌Gswidsinskii)等3个新种。





三、分子生物学分类依据

(1) 16S rRNA基因分析及局限

       Vaneechoutte等对81个基因组进行了分析,结果表明所有这些序列的相似性都不低于98.5%,但通过基因组分析发现了3个新种以及13个未正式命名的基因种。此外,16S rRNA基因测序无法检测到可用于识别单个物种的特征序列,不能用于加德纳菌属物种的鉴定。

(2) MALDI-TOF质谱分析

       基质辅助激光解吸电离飞行时间质谱分析的蛋白质特征可用于阴道加特纳菌、利奥波德加特纳菌G.  leopoldii皮奥特加德纳菌G.  piotii斯威津斯基加德纳菌Gswidsinskii等菌种的新种。将得到的每个菌株的8个MALDI-TOF质谱经过处理后,通过计算8个技术重复每个数据点的平均信号强度,将其合并为该菌株的一个新生成的谱(复合质谱或主谱,MSP)。排除相似度低于平均95%的原始光谱。用不同的方法分析了不同菌株的谱。采用两种相似的非层次分析方法分析光谱之间的关系,即主成分分析和判别分析,旨在降低MALDI-TOF光谱数据集的复杂性和冗余性,同时保留数据中存在的信息。MALDI-TOF产生一组新的变量,即所谓的主成分(principal components, PCs),见图3显示。


BV唾液酸酶是什么加德纳属修订:3个新种及13个基因种_https://www.jmylbn.com_新闻资讯_第3张

图3、MALDI-TOF质谱的主成分分析

图注:显示为同一三维判别分析图的两种不同视图。x轴、y轴和z轴分别是第一个、第二个和第三个的主成分,分别代表数据集中方差的49.3、22.9和11.3%。每个点/立方体代表一个品系,每种颜色代表一个不同的物种。绿色, 阴道加特纳菌; 紫色, 皮奥特加德纳菌G.  piotii; 红色, 利奥波德加特纳菌(G.  leopoldii; 黄色, 斯威津斯基加德纳菌Gswidsinskii

(3)  综合基因组相关指数分析

      基于全基因组序列的综合基因组相关指数(overall genome relatedness indices),主要包括平均核苷酸一致率(average nucleotide identity, ANI)和数字DNA-DNA杂交(digtal DNA-DNA hybrication,dDDH)两个指标,目前是被广泛使用和接受的原核生物物种描述的金标准。基于该两个指标,Vaneechoutte等重新定义了阴道加特纳菌,新描述了利奥波德加特纳菌G.  leopoldii)、皮奥特加德纳菌G.  piotii)和斯威津斯基加德纳菌Gswidsinskii)等3个新种以及13个未正式命名的基因种(图4)。

BV唾液酸酶是什么加德纳属修订:3个新种及13个基因种_https://www.jmylbn.com_新闻资讯_第4张

图4、81株加特纳菌的综合基因组相关指数分析

图注:dDDH(右上)和ANI(左下)。A,当前研究中描述的基因组物种数量;B,整个基因组序列的编号。C、加德纳菌属的当前研究;D,四个加德纳菌种类群的命名,由Ahmed等人描述。E,全基因组序列的登录号;F,基因组大小,以Mb为单位;G, DNA G+C全基因组含量以mol%表达。





四、属内菌种的描述和修订

(1) 阴道加特纳菌

     微生物学特征:革兰阴性可变球杆菌,菌体大小为0.5 ~ 1.5 μm。在5% CO2气体环境巧克力琼脂培养基上培养2-5天后生长为微白色到灰白色、表面光滑的菌落。可以通过MALDI-TOF、dDDH和ANI与描述的其他加德纳菌种明确区分。模式菌株为ATCC 14018T (=Dukes 594T=DSM 4944T =CCUG 3717T=JCM 11026T=NCTC 10915T= NCTC 10287T),其测序的模式菌株全基因组序列可从NCBI获得,登录号为QJUZ00000000。

(2) 利奥波德加特纳菌(G. leopoldii

      该菌种以首次发现加特纳菌Sidney Leopold的名字命名,菌名由“Leopold”拉丁化而来,即利奥波德加特纳菌

      微生物学特征:革兰阴性可变球杆菌,菌体大小为0.5 ~ 1.5 μm。在5% CO2气体环境巧克力琼脂培养基上培养2-5天后生长为微白色到灰白色、表面光滑的菌落。可以通过MALDI-TOF、dDDH和ANI与描述的其他加德纳菌种明确区分。唾液酸酶和β-半乳糖苷酶活性阴性。DNA G+C含量为41.9 ~ 43.2 mol%。模式菌株为UGent 06.41T (LMG 30814T=CCUG 72425T)于2012年10月在比利时根特人阴道中分离,其测序的模式菌株全基因组序列可从NCBI获得,登录号为CP029984。

(2) 皮奥特加特纳菌(Gpiotii

      该菌种以比利时微生物学家Peter Piot的名字命名,以纪念其对于阴道加特纳的一些贡献,菌名由“Piot”拉丁化而来,即皮奥特加特纳菌

      微生物学特征:革兰阴性可变球杆菌,菌体大小为0.5 ~ 1.5 μm。在5% CO2气体环境巧克力琼脂培养基上培养2-5天后生长为微白色到灰白色、表面光滑的菌落。唾液酸酶活性阳性,β-半乳糖苷酶活性阴性。可通过MALDI-TOF MS、DDH和ANI等方法可以与本文描述的其他加德纳菌属物种明确区分。DNA G+C含量为41.1 ~ 42.3 mol%。模式菌株为UGent 18.01T(LMG 30818T=CCUG 72427T)于2012年10月从比利时根特人阴道中分离得,其测序的模式菌株全基因组序列可从NCBI获得,登录号为QJUV00000000。

(3) 斯威津斯基加特纳菌(Gswidsinskii

      该菌种德国微生物学家Alexander Swidsinski的名字命名,以及他发现患有BV的妇女阴道拭子革兰染色中的线索细胞,菌名由“Swidsinski”拉丁化而来,即斯威津斯基加特纳菌

      微生物学特征:革兰阴性可变球杆菌,菌体大小为0.5 ~ 1.5 μm。在5% CO2气体环境巧克力琼脂培养基上培养2-5天后生长为微白色到灰白色、表面光滑的菌落。唾液酸酶和β-半乳糖苷酶活性阴性。可以通过MALDI-TOF、DDH和ANI与本文描述的其他加德纳种明确区分。DNA G+C含量为41.4 ~ 42.3 mol%。模式菌株为GS 9838-1T (LMG 30812T=CCUG 72429T)于2008年10月从俄罗斯圣彼得堡人阴道中分离,其测序的模式菌株全基因组序列可从NCBI获得,登录号为QJVB00000000。


表1、加特纳菌属菌种的主要特征

特征

b-半乳糖苷酶

唾液酸酶

阴道加特纳菌

Gvaginalis

+

+/-

利奥波德加特纳菌(G.  leopoldii

-

-

皮奥特加特纳菌(G.  piotii

-

+

斯威津斯基加德纳菌(Gswidsinskii

-

-



参考文献:

[1] LEOPOLD S. Heretofore undescribed organism isolated from the genitourinary system. U S Armed Forces Med J. 1953 Feb;4(2):263-6. PMID: 13015741.

[2] GARDNER HL, DUKES CD. Haemophilus vaginalis vaginitis: a newly defined specific infection previously classified non-specific vaginitis. Am J Obstet Gynecol. 1955 May;69(5):962-76. PMID: 14361525.

[3] Greenwood, J. R. , and  M. J. Pickett . "Transfer of Haemophilus vaginalis Gardner and Dukes to a New Genus, Gardnerella: G. vaginalis (Gardner and Dukes) comb. nov. " International Journal of Systematic and Evolutionary Microbiology (1980).

[4] Vaneechoutte M, Guschin A, Van Simaey L, Gansemans Y, Van Nieuwerburgh F, Cools P. Emended description of Gardnerella vaginalis and description of Gardnerella leopoldii sp. nov., Gardnerella piotii sp. nov. and Gardnerella swidsinskii sp. nov., with delineation of 13 genomic species within the genus Gardnerella. Int J Syst Evol Microbiol. 2019 Mar;69(3):679-687.



欢迎关注微信公众号小词典

输入细菌属名,回复菌名词源的哦。

BV唾液酸酶是什么加德纳属修订:3个新种及13个基因种_https://www.jmylbn.com_新闻资讯_第5张


审校: 屈平华

广东省中医院/ 广州中医药大学第二附属医院