abp在医学是什么意思如何区分4种类型的肺曲霉菌病影像学表现?

新闻资讯2026-04-23 13:54:08

如何区分4种类型的肺曲霉菌病影像学表现?

肺曲霉病感染并不罕见,特别是在慢性阻塞性肺病和免疫力下降的情况下。


CT在检测隐匿性或小病变方面比普通胶片更敏感,在描述疾病程度和曲霉菌数量方面更准确。

自信的诊断很困难,它基于细胞学和组织学。

肺曲霉病是一种真菌感染,大部分时间由烟曲霉(Spergillus Fumigatus)引起,烟曲霉是自然环境中广泛存在的条件致病真菌,其产生的气传袍子,可被吸人呼吸道末端,引起曲霉致敏相关的疾病,例如过敏性哮喘、过敏性肺炎、变应性支气管肺曲霉病(Allergic bronchop-ulmonary aspergillosis, ABPA)等疾病。

当我们谈论曲霉菌病时,我们指的是一系列放射学和临床表现,这些表现直接取决于患者的免疫状态和生物体的毒力。
abp在医学是什么意思如何区分4种类型的肺曲霉菌病影像学表现?_https://www.jmylbn.com_新闻资讯_第1张

书籍广告

我们可以区分4种类型的肺曲霉病。
1、曲霉菌(腐生性曲霉病)。
2、过敏性支气管肺曲霉菌病(ABPA)。
3、半侵入性或慢性坏死性曲霉菌病。
4、侵袭性曲霉菌病(可分为气道侵袭性和血管侵袭性)。

曲霉菌


免疫活性宿主中的曲霉菌感染。

最常见的根本原因:结核病,结节病,肺气肿,支气管扩张,肺尘埃沉着病,纤维化肺病,肿瘤,肺梗塞,支气管囊肿,肺隔离症和继发于肺孢子虫肺炎的肺气肿。

单个或多个,它主要发生在上叶。

曲霉菌的临床表现是咯血。

胸部X光片和CT扫描显示(图:1,2,3,4,5,6,7):

1、肺部空腔,包含坚实的圆形物质,通过空气边缘与墙壁分开。此功能称为“空气新月”标志。

2、另一个常见特征是腔壁和邻近胸膜增厚。

3、这种真菌球可能是移动的。

abp在医学是什么意思如何区分4种类型的肺曲霉菌病影像学表现?_https://www.jmylbn.com_新闻资讯_第2张
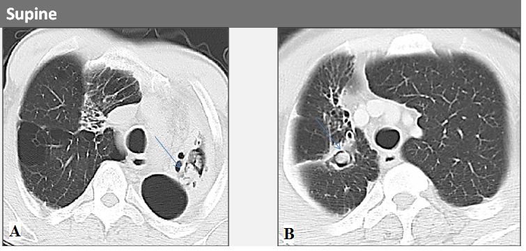
图1:腐生性曲霉菌。肺窗的仰卧MDCT扫描显示重力依赖性腔内肿块。

abp在医学是什么意思如何区分4种类型的肺曲霉菌病影像学表现?_https://www.jmylbn.com_新闻资讯_第3张
图2:腐生性曲霉菌。图1患者的俯卧MDCT扫描,肺窗显示重力依赖性腔内肿块。

abp在医学是什么意思如何区分4种类型的肺曲霉菌病影像学表现?_https://www.jmylbn.com_新闻资讯_第4张
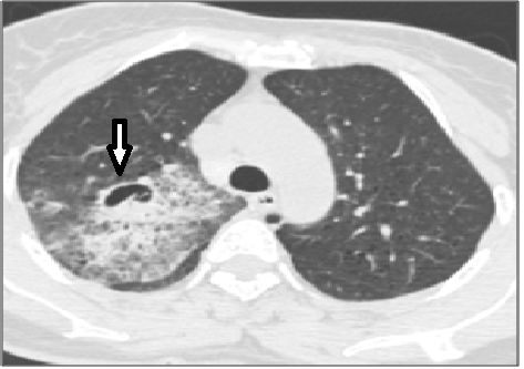
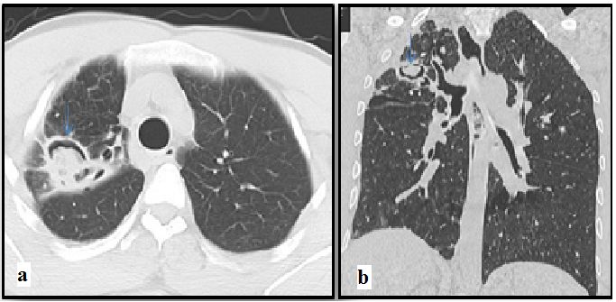
图3:轴向CT显示55岁女性的曲霉病患者发现空气新月形上叶与固结区域相关,周围有磨玻璃样改变。

abp在医学是什么意思如何区分4种类型的肺曲霉菌病影像学表现?_https://www.jmylbn.com_新闻资讯_第5张
图4:轴位CT显示右下叶的团块,中央区域为空洞,考虑诊断为曲霉菌,术后诊断为肺癌。

abp在医学是什么意思如何区分4种类型的肺曲霉菌病影像学表现?_https://www.jmylbn.com_新闻资讯_第6张
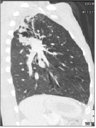
图5:矢状图显示了与支气管扩张相关的右上叶曲霉瘤。

abp在医学是什么意思如何区分4种类型的肺曲霉菌病影像学表现?_https://www.jmylbn.com_新闻资讯_第7张
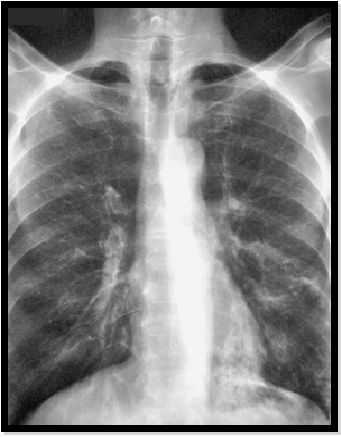
图6:胸片显示右上叶阴影,被空气新月包围:腔内的真菌球。

abp在医学是什么意思如何区分4种类型的肺曲霉菌病影像学表现?_https://www.jmylbn.com_新闻资讯_第8张
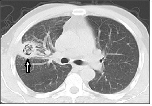
图7:轴向和冠状CT扫描显示空腔内的真菌球,与支气管扩张和多发小叶中央结节相关。

过敏性支气管肺曲霉菌病(ABPA)


由于在段和亚段支气管内沉积免疫复合物和炎性细胞,在肺实质中存在短暂的密集的粘液,菌丝和嗜酸性粒细胞。

ABPA代表对曲霉菌的超敏反应,几乎全部发生在长期支气管哮喘患者中,偶尔也是囊性纤维化的并发症。

临床上:喘息,咳嗽和发烧。

通常发现嗜酸性粒细胞增多和血清IgE水平升高,它们可以提示诊断。

初始放射学表现:

1、暂时肺部阴影(肺泡中免疫复合物和炎症细胞的沉积)。

2、支气管发生不可逆转的损伤,伴有扩张,壁增厚和粘液堵塞。

3、CT表现:管状或囊状手指区域支气管分布增加不透明度,表示支气管扩张内粘液堵塞,主要累及上叶(图8、9)。
abp在医学是什么意思如何区分4种类型的肺曲霉菌病影像学表现?_https://www.jmylbn.com_新闻资讯_第9张

书籍广告

诊断由以下标准组成:

1、偶发性哮喘急性发作。

2、短暂或固定的肺部浸润。

3、中央支气管扩张。

4、外周血嗜酸性粒细胞增多症。

5、血清IgE水平升高。

6、阳性曲霉菌沉淀素。

abp在医学是什么意思如何区分4种类型的肺曲霉菌病影像学表现?_https://www.jmylbn.com_新闻资讯_第10张
图8:胸部X线片显示由于ABPA中的支气管粘液堵塞导致左下叶中的管状阴影。

abp在医学是什么意思如何区分4种类型的肺曲霉菌病影像学表现?_https://www.jmylbn.com_新闻资讯_第11张
图9:高分辨率CT显示由于支气管扩张伴粘液嵌塞,导致的下叶中的支气管周围增厚和明显的结节影。

慢性坏死性肺曲霉菌病(CNPA)或半侵袭性曲霉菌病


局部和更惰性的侵袭性肺曲霉菌病。

患有慢性疾病的患者,使他们易于感染。

组织学上:组织坏死和肉芽肿性炎症的存在,类似于结核病复发中所见。

临床上:慢性咳嗽或咯血。

放射学(图10、11、12):

1、长期肺部阴影。

2、在一个或两个上叶中具有渐进空化的结节。

3、非特异性,最常见的是模仿分枝杆菌感染。

4、病变更外周,伴有胸膜增厚,可能形成支气管胸膜瘘。

abp在医学是什么意思如何区分4种类型的肺曲霉菌病影像学表现?_https://www.jmylbn.com_新闻资讯_第12张
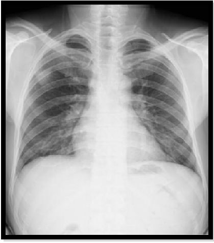
图10:胸部X线片显示右上叶的气囊实变区域。

abp在医学是什么意思如何区分4种类型的肺曲霉菌病影像学表现?_https://www.jmylbn.com_新闻资讯_第13张
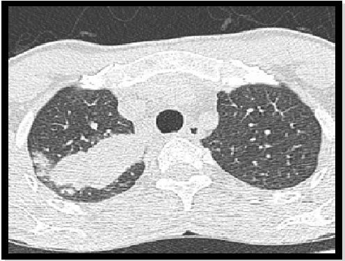
图11:慢性坏死性肺曲霉菌病。轴向CT显示实变和结节的局灶区域被磨玻璃改变的光环包围。

abp在医学是什么意思如何区分4种类型的肺曲霉菌病影像学表现?_https://www.jmylbn.com_新闻资讯_第14张
图12:慢性坏死性肺曲霉菌病。MDCT扫描显示病变的演变,其大小增加并显示出中心空洞的区域。

侵袭性肺曲霉菌病(IPA)


死亡率:高达85%。

发生于严重免疫功能低下的患者,尤其是因血液系统恶性肿瘤,化疗或免疫抑制治疗引起的中性粒细胞减少症患者。

根据传播途径,我们可以辨别出两种侵入性曲霉病:

1、血管侵袭。

2、气道侵入性。

甚至可以在同一患者中共存。然而,这仅仅是组织学和病因学上的区别,因为在临床实践中,这与治疗无关。

血管侵袭性曲霉菌病


组织学特征是真菌菌丝侵入中小型血管。这导致血栓形成和血管闭塞,随之发生组织坏死和全身性扩散。

CT扫描显示:(早期IPA)小结节和/或小的胸膜,楔形改变,周围有磨玻璃光晕(晕征)。晕征代表肺泡出血。

随着疾病的进展,结节可能会出现空洞,坏死的薄壁组织会从邻近的肺部分离,形成类似于曲霉菌中所见的空气新月形。

在正确的临床环境中,由磨玻璃晕环绕的结节或实变,进展为空洞或空气新月征,形成被认为是典型的血管侵袭性曲霉菌病。
abp在医学是什么意思如何区分4种类型的肺曲霉菌病影像学表现?_https://www.jmylbn.com_新闻资讯_第15张

书籍广告

气道侵袭性曲霉菌病


14%-34%的侵袭性曲霉病病例(图13)。

包括支气管炎和细支气管炎,支气管肺炎和大叶性肺炎,没有血管侵犯的证据。

在所涉及的气道周围,通常存在可变大小的出血区和/或组织性肺炎。

在大多数情况下,气道侵袭性曲霉菌病的影像学表现如下:

1、斑片状支气管周围实变。

2、小叶中心结节。

3、树芽征区域。

这些特征是非特异性的,与由其他微生物引起的支气管肺炎无法区分。

这种罕见的表现几乎完全影响肺移植受者和艾滋病患者。

患者会出现咳嗽,呼吸困难和咯血,但也可能无症状。

CT扫描通常是正常的;有时,非特异性气管壁增厚是唯一明显的发现。

支气管镜检查和痰的真菌培养成比例确定。

abp在医学是什么意思如何区分4种类型的肺曲霉菌病影像学表现?_https://www.jmylbn.com_新闻资讯_第16张
图13:宫颈癌化疗后子,严重中性粒细胞减少症患者的侵袭性肺曲霉病。MDCT扫描显示双侧多个不明确的结节,伴有外周磨玻璃改变,中叶外侧段的实变区域,也被磨玻璃改变区域包围。


好书推荐,点击链接链接详情:
肝胆胰外科手术实录:清晰呈现了 “东大流派”的手术风格!
围手术期心脏麻醉与外科循证实践(宋海波、刘进主译)
肿瘤术中病理诊断图谱及解析
妇科腹腔镜手术进阶之道:比手术经验更重要的训练方法,附视频
《协和内分泌大查房》协和医生临床思维例释
图文并茂:二尖瓣和三尖瓣手术学(译著)
抗肿瘤药物处方审核指南
《Harper儿童皮肤病学》(巨型译著 上下卷),第4版
用药宝典《心脏病药物治疗学 第2版》,主编:杨杰孚、许锋
冠状动脉微血管疾病(主编:葛均波)
急诊科诊疗常规
乳腺影像学:核心复习(译著)
子宫内膜异位症与不孕
临床皮肤病学 译著
激光临床应用技术(人民卫生出版社)
静脉用药物临床应用指导
奈特胃肠病学(第3版)
结直肠肿瘤诊治并发症的预防和处理、肛肠手术并发症的预防与处理
龙哥查房——吴一龙教授肺癌典型病例分析及循证思维应用
化学中毒与急救
基本外科技巧
皮肤科糖皮质激素规范使用详解
儿童哮喘规范化诊治技术
现代医院感染管理质量控制
重症医学科管理与实践
髋关节手术进展
机械循环支持:《Braunwald心脏病学》姊妹卷(第2版)
首都医科大学附属北京友谊医院重症医学科常见疾病病例精解
中国重症基层诊治流程
专科技能培训教程:儿科学分册
神经病毒病疑难病例解析
临床血流动力学:刘大为
心血管系统CT诊断:CT快速入门
脑神经疾病 于炎冰2020观点
复旦大学附属华山医院脑血管病外科疾病病例精解
协和全科医师手册
现代男科学临床聚焦
罕见病名称及编码规范(2022年版)
实用性强—《实用结核外科学》
Weedon 皮肤病理学精要
康复护理指南
临床思维逻辑与病史采集训练
触诊技术:体表解剖
连锁药店执业药师基础训练手册
矿山职业病基础医学、矿山化学中毒、矿山尘肺基础医学、矿山创伤基础医学
地震救援知识储备
中医书籍难解难懂,更难的是怎么翻译成英文?
影像学诊断基础教程(第5版)
日间手术管理,人民卫生出版社
美容微针疗法临床应用指南
DRG/DIP医院实施指南
临床妇产科学第3版,人民卫生出版社
血细胞形态学诊断图谱(第2版)
法医探案:侦破罪案的214个冷知识
调节性T细胞——自身免疫耐受
心血管疾病用药相关问题:病例与评析 (第二版)
中医内科学歌诀355首
康复评定常用量表
急诊急救护理技术(全彩图文版)
药物临床研究理论和实践
医疗器械消毒标准解读
中国古典针灸学大纲
即时即地检验技术与应用
老年麻醉学 第三版 译著
当代胆囊外科学
实用中枢神经解剖与影像学图谱
简明临床细菌与真菌鉴定图谱
白内障手术技能培训课程(基础篇)【优盘版】
乳房的秘密、乳腺癌术后乳房再造
中国血栓性疾病防治指南
实用书籍:贝勒和斯科特诊断微生物学(胡必杰、潘珏、高晓东 译)
消化内镜护理配合与管理
新冠肺炎CT早期征象与鉴别诊断
疫病论——五运六气解读新冠肺炎疫病
呼吸危重症临床实践手册
新型冠状病毒肺炎肺部CT表现特点及演变过程
呼吸康复指南:评估、策略和管理
韦斯特肺部病理生理学精要
呼吸支持技术(王辰、陈荣昌)
阜外心血管重症手册
临床常见疾病诊疗要点
科技论文与专利写作实用教程
Ferri临床诊疗指南——心血管系统疾病诊疗速查手册
漫画基础医学:读懂免疫学
ECMO临床应用(附典型病例及操作视频)
体格检查图解
听诊技巧:呼吸音及心音
药理学原理:药物治疗学的病理生理基础
《分子病理学》第2版
心电图实训手册
眩晕内科诊治和前庭康复
以心血管疾病风险管理为中心的糖尿病综合管理
危重新生儿救治中心能力建设系列教程:危重新生儿诊治+转运+护理
快速反应团队体系建设-实施教程
重症译著:匹兹堡重症医学
面向未来的医学教育--身份、权利与场所
热射病诊疗实践与临床思维
协和胸外科学(第三版)
血液透析与患者健康解读
遗传代谢病防治理论与实践
夜尿症
当代肺癌面面观。肺癌规范化手术。
全身PET/CT临床应用探索
白癜风基础与临床(第2版)
图解食管胃静脉曲张出血诊治
医学伦理学理论与实践
病案管理实用指南
外科质量与安全指南
脑动静脉畸形与动静脉瘘
康复治疗师临床工作指南——作业治疗技术
北京协和医院刘大为主编的专著:《重症医学临床思维》
心血管专科医师培训教程
思考中医,走近中医,选择中医
小儿基础重症支持
实用急危重症处理流程
临床常见危急重症抢救流程与解析
肾移植:原理与实践
儿科查房实用手册
全科医生流程操作技能训练
外科感染:预防与管理
医院疾病诊断相关分组(DRG实施实务)
重症医学流程诊疗指南
日间手术管理
慢性完全闭塞冠状动脉病变的介入治疗
协和急诊总值班纪实
医用放射诊疗设备学
甲状腺疾病的核医学诊断与治疗
放射性粒子近距离消融治疗学
风湿免疫科诊疗常规、疼痛科诊疗常规、皮肤病与性病诊疗常规
腹腔镜直肠癌手术原理与实践
临床实验室质量管理实践指南
医学英语词汇学习手册(第三版)
骨筋膜室综合征诊断及治疗
糖皮质激素局部注射技术皮肤科应用—理论与实践
快速上手—超声引导区域阻滞和血管穿刺技术
紧急医学救援:装备图册、装备培训图册、装备运用图册
颅脑影像与临床神经解剖:MRI与CT图谱(原著第4版)
眩晕治疗原理与实践
胸部疑难病例影像解析(第二版)张嵩
药物基因组学理论与应用
运动医学:实践与指南
实用偏瘫康复训练技术图解(视频版)
PCI导丝操控秘笈——操控技巧和注意事项
肺结节变癌?实用3D导航早期肺癌肺段切除图谱
中国临床案例•精神心理科病例精解
胸外科手术围术期管理指南
临床急危重症护理理论与实践
在医学中讲故事:叙事是怎样改进实践的
心脏大血管外科学(董念国,胡盛寿,杨辰垣编)
从血管到皮瓣,一个整形外科医生的选择
老年疾病与用药保健指导
肌骨系统临床检查手册:方法、体征与症状
危急重症心电图快手
老年医学临床实践(第4版)中国协和医科大学出版社
神经科学(第4版) 主编:韩济生、蒲慕明、饶毅
介入手术护理配合流程及评分标准
曾宪九胰腺病学(第2版)
青年医师超声读片进阶
心脏超声精细讲解(切面解剖、扫查方法与疾病解读)
北京友谊医院心内疑难与典型病例解析
内科常见病治疗手册
病原与感染性疾病(第2版)作者:李兰娟,唐红,程彦斌
基于案例的临床思维教育的原则与实践
骨科贴扎、绷带、支具和防护衬垫技术
人工耳蜗调试理论与实践
肿瘤液体活检
《神经外科学精要》| 张洪钿、陈立华教授主译
甲状腺癌实例解析
肿瘤学经典著作:贝塞斯达临床肿瘤学手册(原书第5版)
血液病流式细胞术临床应用100例
将繁琐的麻醉工作变为浅显易懂的语言:临床麻醉基础
病理科、血液科医生的案头书:骨髓病理学图谱(译著)
MR成像原理不再晦涩难懂:临床MR成像原理图解
呼出气代谢组学与疾病的诊断
不明原因发热诊断难?《发热性疾病疑难病例精解》来帮忙
三大专委会指定用书:《CT介入治疗学》第3版
急诊内科学第4版,人民卫生出版社
实用重症医学第2版-刘大为主编,人民卫生出版社
消化内镜病例精解:食管与胃ESD
超声引导下神经阻滞(基础篇)【优盘版】
《药物和医疗器械临床试验300问及案例分析》第2版

师兄和俺建立了资分享群,邀您互相交流,微信gabstudy
点击阅读原文,进入书籍宝库,用完记得收藏哦,下次更方便