abp在医学是什么意思2021日本ABPA/ABPM诊断标准解读

新闻资讯2026-04-23 13:52:45

abp在医学是什么意思2021日本ABPA/ABPM诊断标准解读_https://www.jmylbn.com_新闻资讯_第1张


一、ABPA/ABPM概念


真菌作为最常见的吸入变应原之一,部分真菌可诱发多种呼吸系统超敏反应性疾病,主要包括变应性支气管肺真菌病(allergic bronchopulmonary mycosis,ABPM)。真菌致敏性严重哮喘(severe asthma with fungal sensitation,SAFS)。目前也有学者提出真菌过敏性气道疾病(allergic fungal airway disease,AFAD)的概念,包括但不限于常见的ABPM、SAFS、变应性真菌性鼻窦炎(allergicfungalsinusitis,ASF)。


ABPM是机体对寄生于气道内的丝状真菌发生变态反应为特征的非感染性肺部疾病,最常见的致病真菌为曲霉,称为变应性支气管肺曲霉病(allergic bronchopulmonary aspergillosis,ABPA),其他真菌如链格孢菌、枝孢霉、平脐蠕孢菌、裂褶菌、弯孢属真菌、波氏假阿利什霉、镰刀菌属、青霉菌等也可引起ABPM。ABPA/ABPM的本质是Ⅰ型和Ⅲ型超敏反应。


二、ABPA/ABPM的诊断标准


1. ABPA/ABPM诊断标准的变迁


1977年,Rosenberg-Patterson首先提出ABPA/ABPM的诊断标准,该标准包含了8条主要标准和3条次要标准,后于2003年将囊性纤维化(CF)纳入先决条件之一。2008年,美国感染病协会(IDSA)发布的曲霉治疗指南也提出了相关的诊断标准,其中包含7条主要标准和3条次要标准。2013年,世界人类和动物真菌学会(ISHAM)提出新的诊断标准,包括易感因素(哮喘和CF)、2条必备标准(①对烟曲霉抗原的皮肤速发反应;②sIgE和/或总IgE增高)及3条次要标准(至少符合其中2条)。2017年,中华医学会呼吸病学分会哮喘学组发布了《变应性支气管肺曲霉病诊治专家共识》,纳入了相关疾病、必备条件以及其他条件,与2013年ISHAM标准基本类似。2021年,日本ABPM Research Program提出了日本诊断标准。随着ABPA/ABPM诊断标准的不断更新,反映出临床上对该病的认识也在逐渐深入。


2. Rosenberg-Patterson诊断标准[1]


(1)主要诊断标准:①发作性支气管哮喘;②外周血嗜酸粒细胞增多;③Ⅰ型(速发型)曲霉皮肤试验阳性;④血清曲霉抗原沉淀素抗体阳性;⑤血清曲霉特异性IgE升高;⑥血清总IgE升高;⑦影像学表现肺部浸润影(游走性或固定性);⑧中心性支气管扩张。


(2)次要诊断标准:①痰液(培养或镜检)找到曲霉或曲霉菌丝;②咳棕色痰栓;③Arthus反应(曲霉抗原迟发性皮肤反应阳性)。


符合≥6条主要诊断标准时诊断基本成立,同样适用于非曲霉引起的ABPM。


3. 2013年ISHAM标准[2]


(1)易感因素:支气管哮喘、CF。


(2)必要条件(2项均应满足):Ⅰ型(速发型)曲霉皮肤试验阳性或曲霉特异性IgE抗体升高;②血清总IgE升高(>1000 kU/L)。


(3)其他(至少符合3项中的2项):①血清曲霉沉淀素或特异性IgG抗体阳性;②肺部影像改变;③未使用激素时,外周血嗜酸粒细胞计数>500/μl。


如果患者血清总IgE水平<1000 kU/L,但符合其他全部标准也可诊断。


4. 变应性支气管肺曲霉病诊治专家共识(2017中华医学会)[3]


(1)相关疾病:①哮喘,特别是难治性哮喘或重症哮喘;②其他疾病:支气管扩张症、慢阻肺、肺囊性纤维化等。


(2)必需条件:同时具备①血清烟曲霉sIgE水平升高(>0.35 kUA/L)或烟曲霉皮试速发反应阳性;②血清TIgE水平升高(>1000 U/ml),如果满足其他条件,<1000 U/ml也可考虑诊断。


(3)其他条件:①外周血嗜酸粒细胞>0.5×10^9个/L;使用激素者可正常,以往的数据可作为诊断条件;②影像学与ABPA一致的肺部阴影:一过性病变包括实变、结节、牙膏征或手套征、游走性阴影等,持久性病变包括支气管扩张、胸膜肺纤维化等;③血清烟曲霉sIgG抗体或沉淀素阳性。


中国标准与ISHAM标准基本一致。


5. 原诊断标准遇到的挑战[4-7]


临床诊断的ABPA只有39%的患者符合Rosenberg-Patersone 8条中的7条,而临床诊断的ABPA中22%有典型痰栓,但没有必备条件中的哮喘或CF。由于目前的诊断标准,包括实验室标准,都是针对曲霉,而ABPM临床表现更加没有特征性,更具有挑战性。17例活检证实的ABPM有7例缺乏哮喘或CF,有7例缺乏外周血嗜酸粒细胞增高,有3例血清总IgE<1000 IU/ml。


三、日本ABPA/ABPM临床诊断标准解读


1. 日本非囊性纤维化患者ABPM临床诊断标准[8]


2021年日本ABPM Research Program颁布了ABPA/ABPM诊断标准:①哮喘或既往哮喘病史或哮喘样症状;②外周血嗜酸粒细胞≥500/mm3;③总IgE水平升高≥417 IU/ml;④皮肤速发过敏反应或丝状真菌特异性IgE升高;⑤沉淀素阳性或丝状真菌特异性IgG阳性;⑥痰培养或支气管灌洗液中丝状真菌生长;⑦支气管黏液栓中发现真菌菌丝;⑧CT上出现中心性支气管扩张;⑨中心性支气管存在黏液栓(通过CT表现、气管镜或黏液栓咳出史);⑩CT表现上支气管内存在高密度黏液栓(密度高于椎旁肌肉)。


上述标准4~6中的丝状真菌应相同,符合6条或6条以上可诊断为ABPM。


abp在医学是什么意思2021日本ABPA/ABPM诊断标准解读_https://www.jmylbn.com_新闻资讯_第2张


  • 条件2的外周血嗜酸粒细胞和血清总IgE以诊断时水平或取近期峰值。

  • 条件4和条件5的真菌必须在属的水平是一致的。
  • 条件6培养到的真菌与条件4和条件5相一致,且为丝状真菌,而不是假丝酵母菌或酵母菌。
  • 条件7的黏液栓可以是咳出的或气管镜取得。
  • 条件8~10为影像学标准,咳出或气管镜取得的痰栓可以作为符合条件9。
  • 条件10高密度痰栓的判断标准是与椎旁肌肉相比较。


2. Rosenberg-Patterson和ISHAM诊断标准的修订


Rosenberg-Patterson修订的ABPM诊断标准将IgE水平调整至417 IU/ml,符合7条可以诊断ABPM,缺乏支气管扩张的符合其他6条诊断为ABPM可能。


abp在医学是什么意思2021日本ABPA/ABPM诊断标准解读_https://www.jmylbn.com_新闻资讯_第3张


ISHAM修订的ABPM诊断标准缺乏相关疾病但其他标准符合诊断为ABPM可能。


abp在医学是什么意思2021日本ABPA/ABPM诊断标准解读_https://www.jmylbn.com_新闻资讯_第4张


3. 日本诊断标准对各诊断标准敏感性的验证


在2021年日本诊断标准中对各个诊断标准进行了验证。其中,病理诊断(定义为黏液栓中发现菌丝)为ABPM的总例数为79例,符合Rosenberg-Patterson诊断标准的7条标准有11例,符合6条标准(除了中心性支气管扩张)有9例,Rosenberg-Patterson诊断的敏感率25.3%。符合ISHAM诊断标准有61例,诊断敏感性为77.2%,24例没有相关疾病(哮喘、CF),判断为可能ABPM。符合日本诊断标准的有71例,诊断敏感性达到96.2%,5例判断为可能ABPM。


abp在医学是什么意思2021日本ABPA/ABPM诊断标准解读_https://www.jmylbn.com_新闻资讯_第5张


此外,日本诊断标准还对医生诊断的确诊/可能的ABPM共计179例进行了验证,其中缺少真菌培养阳性(39%)和影像学存在黏液栓(19%),均缺少黏液栓的病理检查。Rosenberg-Patterson、ISHAM和日本诊断标准的敏感性分别为49.2%、82.7%和94.4%。日本诊断标准的敏感性高于另外两种诊断标准。


abp在医学是什么意思2021日本ABPA/ABPM诊断标准解读_https://www.jmylbn.com_新闻资讯_第6张


4. 诊断标准的假阳性率


日本诊断标准在验证试验中对假阳性率的比较设置了对照,分别是有痰栓但没有真菌菌丝、慢性嗜酸粒细胞肺炎、曲霉致敏的严重哮喘以及慢性肺曲霉菌病,结果发现,ISHAM和新的诊断标准仍有一些假阳性率,而Rosenberg-Patterson的假阳性率相对最低。


abp在医学是什么意思2021日本ABPA/ABPM诊断标准解读_https://www.jmylbn.com_新闻资讯_第7张


5. ROC曲线分析


针对病理诊断的ABPM,修订后Rosenberg-Patterson、ISHAM和日本诊断标准的ROC曲线下面积(AUC)分别为0.85、0.90和0.98,去除日本诊断标准第7条(病理检查黏液栓中发现菌丝),AUC为0.95。当临界值取5或6时,日本诊断标准的约登指数(正确指数)最大(0.84或0.86)。诊断可能或/确定ABPM的灵敏度分别为96.2%和89.9%,特异度为87.4%和96.0%。


abp在医学是什么意思2021日本ABPA/ABPM诊断标准解读_https://www.jmylbn.com_新闻资讯_第8张


6. 亚组分析


既往我们常认为ABPA/ABPM在哮喘患者中最多见。在验证试验中,有79例病理诊断ABPM的患者和179例医生诊断的ABPM患者被纳入亚组分析,结果显示56例ABPM患者并无哮喘病史。Rosenberg-Paterson标准不能诊断无哮喘患者(哮喘是必备条件)。ISHAM标准和日本标准对诊断无哮喘的ABPM的敏感性分别为75.8%和85.6%。


abp在医学是什么意思2021日本ABPA/ABPM诊断标准解读_https://www.jmylbn.com_新闻资讯_第9张


此外,亚组分析中131例患者真菌培养阳性,108例为曲霉菌,23例为其他真菌。改良的Rosenberg-Patterson标准、ISHAM标准和日本标准对曲霉培养阳性的ABPA的诊断敏感性分别为42.2%、89.9%和100%。改良的Rosenberg-Patterson标准、ISHAM标准和日本标准对其他真菌阳性的ABPM的诊断敏感性分别为13.0%、47.8%和91.3%。


abp在医学是什么意思2021日本ABPA/ABPM诊断标准解读_https://www.jmylbn.com_新闻资讯_第10张


7. 三大主要标准的总结


改良的Rosenberg-Patterson标准敏感性低、特异性高。

ISHAM标准提高了敏感性,但诊断标准血清学指标针对曲霉,故对非曲霉导致的ABPM诊断敏感性不足。
日本2021诊断标准的敏感性和特异性均较好,对于不典型案例(无哮喘、非曲霉致敏)均有较好的辨识度。


要特别强调,病理诊断的ABPM特点是黏液栓+真菌菌丝。

在ABPA切除后的标本中发现有气管黏液嵌塞、支气管心性肉芽肿、渗出性细支气管炎、嗜酸性肺炎和非侵袭性真菌菌丝。病理学家提出含有过敏黏蛋白的支气管黏液栓应提示ABPA的诊断;如果同时有真菌菌丝,则具有诊断价值[9]
富含嗜酸粒细胞的黏蛋白中发现真菌菌丝,被耳鼻喉广泛接受用于变应性真菌性鼻窦炎的诊断。支气管黏液嵌钝也可以见于CF、慢性支气管炎、肿瘤导致的阻塞,但以坏死的中性粒细胞、上皮细胞和细胞碎片为主。与耳鼻喉科相比,呼吸科医生似乎更关注血清学指标如IgG、IgE等,但限制了ABPM的诊断。


四、病例


abp在医学是什么意思2021日本ABPA/ABPM诊断标准解读_https://www.jmylbn.com_新闻资讯_第11张


病例1


患者,女性,60岁,主因「反复气喘50余年,加重伴胸闷胸痛2周」于2021年7月28日由胸外科医生转介至我科。既往有哮喘、真菌性鼻窦炎。白细胞7.97×10^9/L,嗜酸粒细胞比值18.6%,T-lgE 558.39 IU/ml(正常值1.27~241.3 IU/ml);m3(烟曲霉)0.71 kUA/L(正常值<0.35);影像学可见痰栓。


abp在医学是什么意思2021日本ABPA/ABPM诊断标准解读_https://www.jmylbn.com_新闻资讯_第12张


虽然血清中IgE并未达到1000 IU/ml,但其他标准都符合!最终诊断为ABPA,支气管哮喘。


abp在医学是什么意思2021日本ABPA/ABPM诊断标准解读_https://www.jmylbn.com_新闻资讯_第11张


病例2


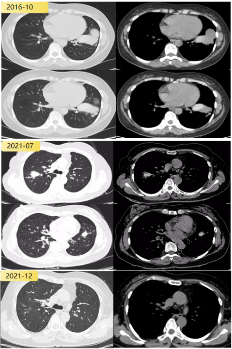
患者,女性,33岁,主因「反复咳嗽、胸闷7年,发现肺部病变3月」于2022年4月第二次入院。既往激发试验阳性,诊断为支气管哮喘,自诉「咳果冻样痰」,查白细胞计数8.74×10^9/L,嗜酸性粒细胞比值5.9%(↑),绝对值0.5×10^9/L。lgE 593.95 IU/ml。外送烟曲霉特异性IgE阴性,烟曲霉IgG阴性。


气管镜:左内前基底段条状分泌物。影像学可见指套状物。


abp在医学是什么意思2021日本ABPA/ABPM诊断标准解读_https://www.jmylbn.com_新闻资讯_第14张
abp在医学是什么意思2021日本ABPA/ABPM诊断标准解读_https://www.jmylbn.com_新闻资讯_第15张


患者无鼻窦炎、无支气管扩张、无曲霉致敏证据。但符合日本ABPM诊断标准。患者按照ABPM治疗,复查胸部CT有吸收,目前仍在随访中。


abp在医学是什么意思2021日本ABPA/ABPM诊断标准解读_https://www.jmylbn.com_新闻资讯_第11张


病例3


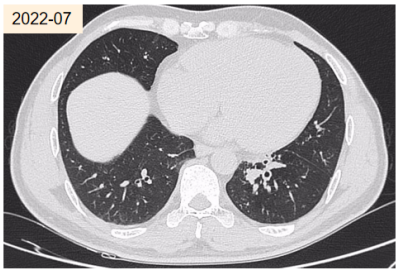
患者,男性,49岁,主因「体检发现支气管扩张3年」就诊。自诉咳褐色痰栓,外院消炎治疗后复查CT发现支气管扩张消失。否认哮喘及家族哮喘病史。居住在1楼。白细胞计数5.50×10^9/L,嗜酸粒细胞比值1.30%,嗜酸粒细胞绝对值0.07×10^9/L。


外送烟曲霉特异性IgE阴性,烟曲霉IgG阴性。痰培养提示烟曲霉。影像:指套状物,轻度支气管扩张。


abp在医学是什么意思2021日本ABPA/ABPM诊断标准解读_https://www.jmylbn.com_新闻资讯_第17张


按照日本诊断标准,ABPM待定。其他标准均无法诊断。


五、总结与思考


首先,ABPM/ABPA应纳入哮喘样发作患者的常规鉴别诊断。诊断为「哮喘」的患者伴有肺部浸润,斑片渗出、实变、局部高密度影、「肿块」时应联想到ABPA等疾病。其次,我们对疾病的认知不断在提升,并非所有ABPA/ABPM患者一定有哮喘、支气管扩张、甚至嗜酸粒细胞增高。临床最常见的致敏或致病的真菌依然是曲霉,临床非常符合ABPA但找不到曲霉证据时应联想到ABPM。在临床工作中,应注重与影像科、病理科、微生物室保持良好的沟通,互相提高,互相成就。


当我们在临床获得阳性结果时,也要保持审慎的态度,要考虑这一结果是真的阳性结果吗?能否解释患者所有的临床表现?如果是阴性结果,也要考虑是否为真阴性?是否与标本取材有关?是否与实验方法有关?既要见微知著,又要避免管中窥豹。



参考文献 (可上下滑动浏览)


[1] Rosenberg M, Patterson R, Mintzer R, et al. Clinical and immunologic criteria for the diagnosis of allergic bronchopulmonary aspergillosis[J]. Ann Intern Med, 1977, 86(4):405-414.

[2] Agarwal R, Chakrabarti A, Shah A, et al. Allergic bronchopulmonary aspergillosis: review of literature and proposal of new diagnostic and classification criteria[J]. Clin Exp Allergy, 2013, 43(8):850-873.

[3] 中华医学会呼吸病学分会哮喘学组. 变应性支气管肺曲霉病诊治专家共识[J]. 中华医学杂志, 2017, 97(34): 2650-2656.

[4] Oguma T, Taniguchi M, Shimoda T, et al. Allergic bronchopulmonary aspergillosis in Japan: A nationwide survey[J]. Allergol Int, 2018, 67(1):79-84. 

[5] Agarwal R, Gupta D, Aggarwal A N, et al. Clinical significance of hyperattenuating mucoid impaction in allergic bronchopulmonary aspergillosis: an analysis of 155 patients[J]. Chest, 2007, 132(4):1183-1190.

[6] Rick E M, Woolnough K, Pashley C H, et al. Allergic Fungal Airway Disease[J]. J Investig Allergol Clin Immunol, 2016, 26(6):344-354.

[7] Ishiguro T, Takayanagi N, Kagiyama N, et al. Clinical characteristics of biopsy-proven allergic bronchopulmonary mycosis: variety in causative fungi and laboratory findings[J]. Intern Med, 2014, 53(13):1407-1411.

[8] Asano K, Hebisawa A, Ishiguro T, et al. New clinical diagnostic criteria for allergic bronchopulmonary aspergillosis/mycosis and its validation[J]. J Allergy Clin Immunol, 2021, 147(4):1261-1268.e5. 

[9] Bosken C H, Myers J L, Greenberger P A, et al. Pathologic features of allergic bronchopulmonary aspergillosis[J]. Am J Surg Pathol, 1988, 12(3):216-222. 



作者简介

abp在医学是什么意思2021日本ABPA/ABPM诊断标准解读_https://www.jmylbn.com_新闻资讯_第18张

王凌伟

教授;博士,主任医师,硕士生导师;深圳市呼吸疾病研究所副所长;南方科技大学医学院诊断学教研室主任;2005年入选中国卫生部国际资源后备人才库人才;2010年德国柏林EVANGELISCHE LUNGENKLINIK医院进修;中华医学会呼吸病学分会第十一届委员会委员;中国医学装备协会呼吸病学分会副主任委员;深圳市医师协会呼吸医师分会会长;主持科技部重大专项课题、在包括ERJ、Journal of Hazardous Material、Molecular Cancer等顶级期刊发表SCI论文30余篇;研究方向:慢性气道疾病、感染性疾病。



本文转载自订阅号「重症肺言」(ID:RCCRC_0067)

原链接戳:王凌伟教授:2021日本ABPA/ABPM诊断标准解读

abp在医学是什么意思2021日本ABPA/ABPM诊断标准解读_https://www.jmylbn.com_新闻资讯_第19张



* 文章仅供医疗卫生相关从业者阅读参考


本文完

责编:Jerry


推荐阅读

1

年轻女性广泛肺部炎症,感染?过敏?BALF微生物检查均阴性、IgE及嗜酸性粒细胞数均不高,查房时哪个生活细节成为突破口?

2

病死率高、极易复发,这108例「慢性肺曲霉病」患者主要基础疾病有哪些?无基础疾病却「吸入大量曲霉孢子」与发病有极大关系?

3

从女青年的「流感后继发侵袭性肺曲霉病」,看「双面」曲霉的致病特点和诊疗中的经验教训


关注我们


abp在医学是什么意思2021日本ABPA/ABPM诊断标准解读_https://www.jmylbn.com_新闻资讯_第20张

点击文末「阅读原文」进入《呼吸界》官方网站