肋骨固定板怎么拆手术技巧:全膝关节翻修如何取出固定良好的胫骨柄锥

新闻资讯2026-04-21 22:45:35
骨科文献3岁生日,2021年铁杆会员招募

审稿专家看了题目就拒稿,为什么?

骨科文献:2020年全年文章


2021年付费阅读:
  1. Injury:小转子骨折影响屈髋功能?一定需要固定吗?

  2. Injury:循证医学,多发肋骨骨折需要手术吗?

  3. Injury:多发骨折髓内钉固定的止血带对呼吸有影响吗?

  4. JBJS:大数据,手术入路和髋关节置换翻修的关系

  5. JBJS:异位骨化对直接前侧入路THA患者自我报告评分的影响


  6. JOT:股骨头骨折10年以上随访,结果究竟如何?

  7. JOT:肩峰骨折畸形愈合不愈合,重建疗效会怎样?

  8. JOT:锁骨中段骨折,蝶形骨块有特点

  9. JOT:肱骨干骨折愈合的2种评估指标,可靠吗?

  10. Injury:下胫腓联合融合术治疗frank下胫腓不稳


  11. Injury:循证医学:后倾角和无移位股骨颈骨折再手术的关系

  12. Injury:循证医学:感染性骨不连,何时植骨效果最佳?

  13. Injury:掌侧钩钢板治疗掌侧劈裂桡骨远端关节内骨折

  14. Injury:转子间骨折AO新分型,真香

  15. JOT:低能量股骨颈骨折的最佳内固定技术


  16. JOT:来自FDA的数据:Gamma3为什么断裂?

  17. JOT:胫骨髓内钉:髌上入路好在哪?

  18. JOT:胫骨平台骨折,外侧牵开器不会损伤腓总神经

  19. JOT:循证医学:老年股骨远端骨折:内固定还是股骨远端关节置换?

  20. JOT:循证医学:老年尺骨鹰嘴骨折:手术还是不手术?


  21. JOT:前方钢板治疗移位型髌骨骨折

  22. 手术技巧:钩钢板治疗内踝骨折

  23. 手术技巧:桡骨远端骨折的指套牵引

  24. JOT:循证医学:骨块掉了怎么办?

  25. JOT:稳定型转子间骨折内固定术后的股骨短缩和髋内翻问题


  26. JOT:什么样的骨碎块会导致股骨干骨折二次手术?

  27. 骨科空心器械内残留的骨质碎片经灭菌后是无菌的吗?

  28. JBJS:大数据告诉你半髋置换选双极股骨头还是单极股骨头

  29. JBJS:同时双膝关节置换真的不安全

  30. Injury:微创DAA双动头治疗老年股骨颈骨折


  31. Injury:哪些因素决定老年股骨颈骨折内固定后的非内固定治疗?

  32. BJJ:门诊关节置换患者,哪些需要检测血红蛋白?

  33. BJJ:下肢复杂骨折,消肿靠抬高还是上气压?

  34. Injury:肱骨干骨折,钢板固定还是保守治疗?

  35. Injury:多图讲解改良Frosch入路一次性处理后柱和外侧柱平台骨折


  36. Injury:B型踝关节骨折,外踝钢板放后外侧vs外侧

  37. Injury:胫骨骨折髓内钉:复位固定的小钢板,有不良影响吗?

  38. Injury:骨折感染治疗失败的风险因素

  39. Injury:股骨干骨折内固定,看不见的失血?

  40. JOT:循证医学:复杂肱骨近端骨折,哪种治疗是最佳?


  41. JOT:评估骨不连有无感染,白细胞、血沉、C反应蛋白统统不好使!

  42. JOT:肘关节骨折脱位术后不稳,外支架是动态固定还是静态固定呢?

  43. JBJS:不稳定关节外桡骨远端骨折,外固定pk钢板的多中心随机对照研究

  44. Injury:胫骨平台骨折的内侧关节面塌陷

  45. JBJS:无止血带局麻下做踝关节骨折?怎么做?


  46. JOT:老年髋部骨折,没必要进行心脏病会诊和检查

  47. JOT:系统评价:取出下胫腓联合螺钉后的感染问题

  48. JOT:髋臼切开复位内固定,伤口内撒抗生素能不能降低感染风险?

  49. Injury:转子间骨折PFNA固定是否要放引流?有好处吗?

  50. Injury:三踝骨折,后踝无固定情况下何时拆除下胫腓联合螺钉?


  51. Injury:移位、翻转的碎骨块是股骨髓内钉切开复位的理由吗?

  52. Injury:大数据,什么季节的髋部骨折最容易出现术后感染?

  53. Injury:股骨颈骨折后倾角超过这个数,就去换关节吧!

  54. Injury:手指手术,选择掌侧皮下神经阻滞还是传统背侧神经阻滞?

  55. JBJS:非手术治疗肱骨近端骨折,骨不连是因为啥?


  56. JOT:肱骨近端骨折锁定钢板内固定需要注意的4个技术指标

  57. JOT:C臂铺巾防污染,哪种方法是最好?

  58. Injury:关于Logsplitter损伤,我们知道多少?

  59. Injury:不稳定性近节指骨关节外骨折的“双皮质克氏针”技术

  60. Injury:儿童胫骨骨折:打个牵引还是弹性髓内钉?


  61. Injury:受累小于25%的后踝骨折,固定还是不固定?

  62. Injury:65岁以下严重外翻嵌插型股骨颈骨折,原位固定vs复位固定?

  63. Injury:循证医学:无移位股骨颈应力骨折如何治疗?

  64. Injury:老年髋部骨折,需要在24小时内手术吗?

  65. Injury:什么样的尺骨茎突基底部骨折容易愈合?


  66. Injury:循证医学,非工作时间内做髋部骨折增加死亡率和并发症吗?

  67. Injury:转子间骨折,短钉的最长固定长度是多少?

  68. Injury:循证医学:胫骨髓内钉,髌上入路vs髌下入路,哪个更好?

  69. Injury:髋部骨折,延迟手术和早期活动能够功过相抵吗?

  70. Injury:循证医学:肱骨干骨折,选择ORIF还是MIPO?


  71. Injury:循证医学,股四头肌完全断裂,怎么修复?选择TT还是SA?

  72. Injury:手腕部克氏针固定,突出体表不换药如何做到0感染?

  73. Injury:低切迹钢板固定胫骨外侧平台骨折的手术技巧

  74. Injury:后踝骨折固定到底好不好?

  75. Injury:胫骨平台三柱骨折,新型“Out-In”体位怎么摆?


  76. Injury:低能量Lisfranc损伤,经皮微创固定靠谱吗?

  77. Injury:循证医学,胫骨远端关节外骨折,髓内钉还是钢板?

  78. Injury:后交叉韧带胫骨起点撕裂,改良直接后侧入路钢板固定技术

  79. Injury:肱骨近端骨折新入路:倒 L 型三角肌前外侧翻转入路

  80. Injury:这个体征可帮你防范漏诊Lisfranc损伤


  81. Injury:Pilon骨折骨痂越多,对位维持反而更差?

  82. Injury:胫骨髓内钉,早期负重安全吗?

  83. JOT:“四踝”骨折手术技巧


来源:304关节学术


Removal of Well-Fixed Tibial Cone in Revision Total Knee Arthroplasty—A Uniquely Challenging Yet Necessary Scenario

The number of revision total knee arthroplasties (TKA) performed in the United States continues to increase. While advancements in implant design and surgical technique have led to improved outcomes compared with historical data, these cases remain technically demanding with high rates of aseptic failure and worse patient reported outcome scores compared with primary total knee arthroplasty. One particular problem commonly encountered in revision knee arthroplasty is bone loss, particularly in the epiphyseal region, which negatively impacts the structural integrity of the implants. Various modular metaphyseal sleeves and cones in conjunction with stemmed implants have been designed to enhance metaphyseal fixation, corroborated by multiple studies demonstrating excellent midterm results involving cones, and sleeves. Commercially available revision systems that incorporate metaphyseal cones are currently widely utilized in revision TKA. For tibial defects, both symmetric and asymmetric cone options are available. Excellent midterm results have been reported with use of this device in the setting of severe proximal tibial bone loss in revision TKA surgery. With the enhanced fixation provided by various sleeve and cone augments, implant removal in the setting of recurrent infection or implant failure can be extremely challenging. Consequently, in this work, we sought to describe an algorithmic approach for removing a tibial cone in conjunction with the overlying tibial baseplate. A review of the literature has also been conducted for complex surgical techniques regarding removal of well-fixed implants in revision total knee arthroplasty.



全膝关节翻修术中取出固定良好的胫骨柄锥:
一种独具挑战性但必要的方案
译者:沈松坡

在美国,全膝关节翻修术(revision TKA)的数量持续增加。尽管与历史数据相比,植入物设计和手术技术的进步已经导致了更好的结果,但与初次全膝关节置换术相比,这些病例仍然对手术技术要求颇高,无菌性失败率高,患者报告的结果评分更差。全膝关节翻修中经常遇到的一个特殊问题是骨缺损,特别是骨骺区,这对植入物的结构完整性产生负面影响。各种模块干骺端袖套和柄锥与延长杆一起被设计用来加强干骺端固定,多项研究证实了涉及柄锥和袖套的优秀中期结果。

目前在TKA翻修手术中广泛使用的是含有干骺端柄锥的商用翻修假体系统。对于胫骨缺损,对称型柄锥和非对称型柄锥都是可用的。在翻修TKA手术中使用该假体治疗严重的胫骨近端骨缺损,已有良好的中期结果报道。随着各种袖套和柄锥增强物的强化固定,在复发性感染或假体失败的情况下,取出假体是极具挑战性的。

因此,在这项工作中,我们试图描述一种方法来移除胫骨柄锥与其上覆的胫骨假体。对于全膝关节翻修术中取出固定良好的植入物的复杂手术技术也进行了文献回顾。

肋骨固定板怎么拆手术技巧:全膝关节翻修如何取出固定良好的胫骨柄锥_https://www.jmylbn.com_新闻资讯_第1张
图1示一例使用骨水泥固定、带有延长杆的胫骨假体及柄锥结构作为一个“整体”被取出。
肋骨固定板怎么拆手术技巧:全膝关节翻修如何取出固定良好的胫骨柄锥_https://www.jmylbn.com_新闻资讯_第2张
图2    取出带有延长杆的胫骨假体与柄锥的标准方法,是在胫骨假体下面插入楔形骨刀。

肋骨固定板怎么拆手术技巧:全膝关节翻修如何取出固定良好的胫骨柄锥_https://www.jmylbn.com_新闻资讯_第3张
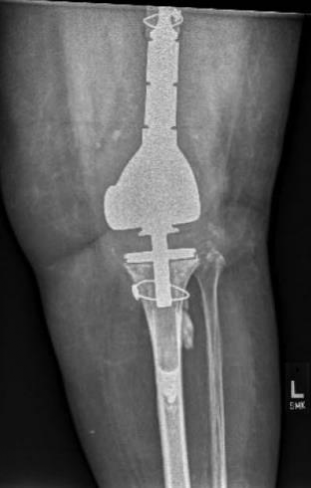
图3  如果在取出柄锥和延长杆时合并胫骨骨折,可以在胫骨近端使用钢丝环扎,如图所示为一例重新植入假体翻修后的膝关节正位片。

肋骨固定板怎么拆手术技巧:全膝关节翻修如何取出固定良好的胫骨柄锥_https://www.jmylbn.com_新闻资讯_第4张
图4  (A)柄锥和胫骨假体之间的楔入骨刀(B)是破坏柄锥与延长杆之间骨水泥的一种方法。

肋骨固定板怎么拆手术技巧:全膝关节翻修如何取出固定良好的胫骨柄锥_https://www.jmylbn.com_新闻资讯_第5张
图5  如果简单的方法失败了,可以使用钨钢锯切割通过胫骨假体与延长杆。然后可以移除胫骨托(A),这样就可以接近底部的延长杆和柄锥(B)注意柄锥周围已完全生长的干骺端骨,在安全移除假体之前必须将其破坏。

肋骨固定板怎么拆手术技巧:全膝关节翻修如何取出固定良好的胫骨柄锥_https://www.jmylbn.com_新闻资讯_第6张
图6  (A)取出胫骨柄锥和布满骨水泥的胫骨延长杆,整块取出。(B)将柄锥和延长杆之间的水泥移除,以创造一个空间来放置尖嘴钳,以便取出假体。

肋骨固定板怎么拆手术技巧:全膝关节翻修如何取出固定良好的胫骨柄锥_https://www.jmylbn.com_新闻资讯_第7张
图7  胫骨托相对于锥柄的不正确位置 (A)和正确位置(B)。在底座底部和柄锥顶部之间留有2 - 3毫米的空间是至关重要的,以备需要取出时使用。



文献出处:Scully WF, Deren ME, Sultan AA, Samuel LT, Nageotte W, Molloy RM, Krebs VE. Removal of Well-Fixed Tibial Cone in Revision Total Knee Arthroplasty-A Uniquely Challenging Yet Necessary Scenario. J Knee Surg. 2021 Jun;34(7):693-698. doi: 10.1055/s-0039-1700572. Epub 2019 Nov 4. PMID: 31683353.