联影磁共振怎么样开启高精度诊断新模式!联影光梭3.0T磁共振落户周口市中心医院

新闻资讯2026-04-21 22:43:06
联影磁共振怎么样开启高精度诊断新模式!联影光梭3.0T磁共振落户周口市中心医院_https://www.jmylbn.com_新闻资讯_第1张
点击上方“蓝字”关注我们吧!



为进一步提高诊断准确率,解决影像检查难预约、等待时间长等问题,周口市中心医院引进最新联影探索3.0T磁共振(uMR790),这台高端设备投入使用后,为周口市及周边地区广大百姓患者带来福音,同时也将推动周口市中心医院对疑难疾病的诊断水平再上新台阶!


联影磁共振怎么样开启高精度诊断新模式!联影光梭3.0T磁共振落户周口市中心医院_https://www.jmylbn.com_新闻资讯_第2张

3.0磁共振参数:场强:3T ;梯度:强度100mT/m ?切换率:200T/m/s;射频通道数:48通道;光梭成像平台。


那么,

这台全新的“核武器”

有什么特别之处呢?



光速!实现扫描速度飞跃式的提升


联影光梭uMR790 3.0T 磁共振设备搭载了革命性的光梭成像技术,强劲梯度性能为磁共振成像提供远超常规成像的信息质量和成像效率,以最优化智能迭代式重建,保证图像质量的同时,“0”延时实时成像;实现超高速0.5秒动态增强,获得高清0.5mm 3D等体素精细图像;实现了全身部位全序列超高速的磁共振扫描,可以在更短的时间内获取高清的图像。在扫描速度上,凭借ACS智能光梭成像技术,设备最快100秒以内即可实现单部位磁共振完整序列检查,能为患者提供更优质、高效的医疗服务,全身覆盖检查实现100秒成像,降低患者等候时间。


联影磁共振怎么样开启高精度诊断新模式!联影光梭3.0T磁共振落户周口市中心医院_https://www.jmylbn.com_新闻资讯_第3张
联影磁共振怎么样开启高精度诊断新模式!联影光梭3.0T磁共振落户周口市中心医院_https://www.jmylbn.com_新闻资讯_第4张


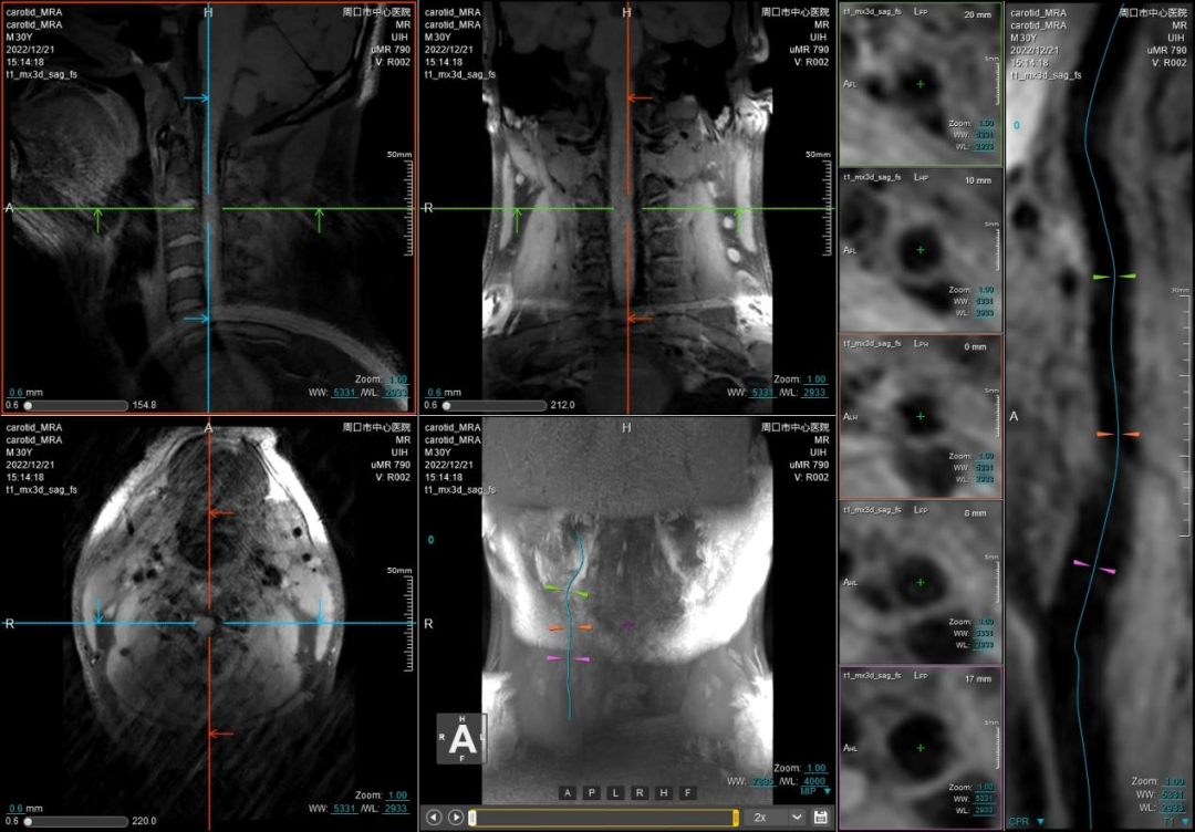
精准!高清晰度磁共振

让颈动脉斑块无处隐藏


最新一代联影光梭uMR790 3.0T 磁共振成像系统不仅可以显示血管狭窄程度、斑块大小和溃疡,还能提供斑块成分、纤维帽厚度和血管壁特征等易损性指标,已成为目前临床识别易损斑块最具有前景的辅助检查手段。


联影磁共振怎么样开启高精度诊断新模式!联影光梭3.0T磁共振落户周口市中心医院_https://www.jmylbn.com_新闻资讯_第5张
(腹部超高时间分辨率动脉期多时相扫描)

联影磁共振怎么样开启高精度诊断新模式!联影光梭3.0T磁共振落户周口市中心医院_https://www.jmylbn.com_新闻资讯_第6张
(乳腺多模态成像)

联影磁共振怎么样开启高精度诊断新模式!联影光梭3.0T磁共振落户周口市中心医院_https://www.jmylbn.com_新闻资讯_第7张
(颅脑波谱成像)

联影磁共振怎么样开启高精度诊断新模式!联影光梭3.0T磁共振落户周口市中心医院_https://www.jmylbn.com_新闻资讯_第8张
(颅脑DTI成像)

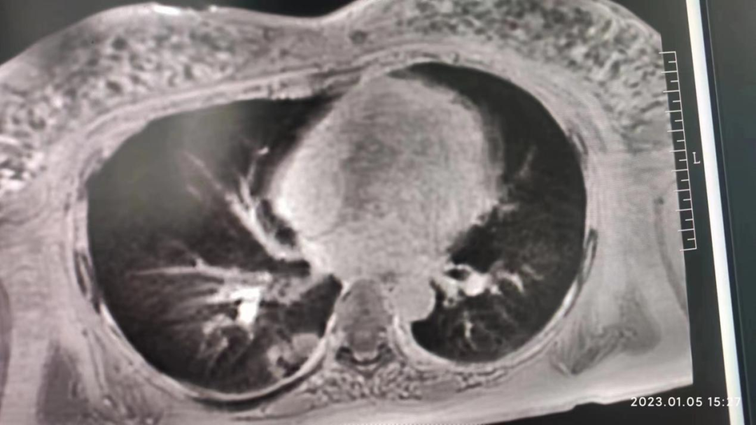
此外,联影智能光梭uMR790 3.0T 磁共振具有丰富的扫描检查模式,能够完成包括神经系统、胸部、腹部、盆腔、心血管、骨骼关节、软组织、乳腺等全身各部位磁共振检查,并且能够完成以前不能进行的胸部等部位磁共振检查。不同序列能够对组织结构和病灶进行多角度、多方位观察,利于病灶定性分析,同时,能够大大提高较多、较小病灶的检出率,做到早发现、早治疗、提升患者后续生活质量。并且可以大量应用于全身各部位的功能成像,能够详细地观察人体各器官结构和病变的形态学变化,有利于疾病的诊断和鉴别诊断。


联影磁共振怎么样开启高精度诊断新模式!联影光梭3.0T磁共振落户周口市中心医院_https://www.jmylbn.com_新闻资讯_第9张
(胸部MRI成像)


联影磁共振怎么样开启高精度诊断新模式!联影光梭3.0T磁共振落户周口市中心医院_https://www.jmylbn.com_新闻资讯_第10张
(臂丛神经成像)


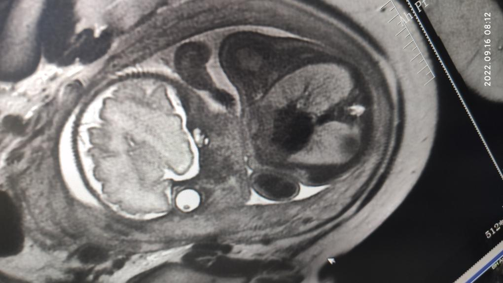
MRI检查对身体有危害吗?

磁共振是利用电子计算机对人体断面进行图像分析诊断的检查方法,它不用X线,而是磁场,其基本原理是人体所含氢原子在强磁场下给予特定的高波后会发生共振现象,产生一种高波数的电磁波。由于磁共振是磁场成像,而不是X射线,没有放射性,所以对人体无害,是非常安全的,这一点不必担心。尤其是需要多次复查的患者、胎儿肺、孕妇肺部检查等,选择磁共振是非常明智的。


联影磁共振怎么样开启高精度诊断新模式!联影光梭3.0T磁共振落户周口市中心医院_https://www.jmylbn.com_新闻资讯_第11张

(胎儿肺成像)


磁共振室简介


联影磁共振怎么样开启高精度诊断新模式!联影光梭3.0T磁共振落户周口市中心医院_https://www.jmylbn.com_新闻资讯_第12张


(上下滑动查看全部内容)


周口市中心医院磁共振室是周口地区影像学专业统招硕士学位授予点,获得国家级及省一级学会副主任委员和常务委员资格,科室拥有一支高素质人才队伍,目前有专职医师及技师共30人,其中主任医师1人、副主任医师2人、副主任技师1人、主治医师3人、主管技师4人,研究生9人、硕士生导师一人、培养统招在读硕士2人,团队专业技术及科研力量雄厚;科室目前拥有高端3.0T及1.5T磁共振等多款世界领先的磁共振共6台,其中3.0T磁共振4台,1.5T磁共振2台,基础硬件实力强大。MR室成立以来,积累了丰富的临床诊断和治疗经验,为广大患者的就医提供了便利条件、为我院临床工作的深入开展和整体医疗水平的提高,起到了重要的推动作用。尤其是3T的临床应用,使我院的医学影像诊断水平得到了大幅度提升,显著提高了我院的地位和声誉,为周口市医学影像学科的迅速发展作出了突出贡献。


磁共振检查范围:磁共振(MR)平扫:适用于头颅、颈部、甲状腺、胸部、心脏、肝胆、胰腺、肾脏、膀胱、前列腺、胃及结肠成像、盆腔、脊柱、四肢、关节等全身各部位、各脏器的常规和特殊检查;磁共振血管造影(MRA、MRV)、磁共振水成像(MRCP、MRU),特别高场磁共振,对疾病的确诊、良恶性肿瘤的鉴别在临床工作中发挥着重要作用。


周口市中心医院磁共振室现已全面开展各项磁共振高级功能成像(包括SWI、PWI、BOLD、MRS、DTI等)、胎儿、乳腺、心脏、颞颌关节、动脉高分辨血管壁分析以及周围神经等检查,陆续开展磁共振介入和磁共振高级科研临床应用。磁共振功能成像广泛应用于临床各科,如神经内外科、肝胆内外科、心内科、小儿科、妇产科、泌尿科、肿瘤内外科等临床各个学科,这些极其优秀的特色MR成像技术,大大提高临床疑难疾病的诊断符合率,更有助于临床医生更准确有效及时的治疗,让患者得到更优质的康复。比如,DTI用于脑肿瘤对正常白质纤维束的侵占,术前和术后对于治疗效果的评估,可以更准确地反映白质纤维束的空间走向。在心血管领域突破了心脏禁区,可全面评估,心脏大血管解剖结构成像、心肌功能分析等全方位的检查研究,大大方便了中老年心脏病患者。在体部领域实现了肝脏三维容积超快速多期动态增强检查,可以敏感发现早期微小肝癌,不会遗漏边缘部位和微小病变。充分利用GE 3TMR“乳腺微观成像”高分辨展示乳腺结节、导管及淋巴结转移;“磁共振灌注成像”界定急性脑梗塞的缺血半暗带;“波谱成像”能真正在活体(病人)上分析化学成分。因此,努力提升MRS、SWI、DTI、PWI、CEMRA、腹部MR平扫及增强等MR功能成像业务,极大程度地避免了病人要到外地就医问题,也进一步提升了科室技术水平,并能获得良好的社会效益和经济效益。MR引导下穿刺活检及介入治疗。




专家简介


联影磁共振怎么样开启高精度诊断新模式!联影光梭3.0T磁共振落户周口市中心医院_https://www.jmylbn.com_新闻资讯_第13张


孙勇,主任医师、研究生导师


(上下滑动查看全部内容)


周口市中心医院磁共振室主任、主任医师、研究生导师;

中华医学会影像技术分会物理专业委员会副主任委员兼X线与CT组长;

中国医疗装备协会放射影像分会常务委员;

中华医学会“百人计划”全国医学影像技术主管领军人才;

中国科技核心期刊≤中国医疗设备≥杂志编委副主任;

新乡医学院硕士研究生导师;

河南省研究型医院协会肿瘤精准微创治疗委员会副主任委员;

河南省医学会影像技术分会常务委员;

河南省卒中学会影像分会第一届常务委员;

周口市医学会影像技术分会主任委员;

周口市中心医院国家规培基地放射专业基地教学主任;

河南省中青年卫生科技创新人才;

周口市第七、第八批专业技术拔尖人才;

周口市中青年科技专家、周口市医疗鉴定专家。




作者/赵丹蕾 孙勇

编辑/刘玉娟

审核/张艺舒

喜欢就告诉我们您“在看”

联影磁共振怎么样开启高精度诊断新模式!联影光梭3.0T磁共振落户周口市中心医院_https://www.jmylbn.com_新闻资讯_第14张


好东西岂能独享~

点击下方链接

关注周口市中心医院互联网医院

即可享受

专家线上问诊、获得更多健康资讯

详情请点击下方链接↓↓↓


联影磁共振怎么样开启高精度诊断新模式!联影光梭3.0T磁共振落户周口市中心医院_https://www.jmylbn.com_新闻资讯_第15张