联影磁共振怎么样平原县第一人民医院联影uMR780 光梭3.0T磁共振正式投入使用,开启医学影像新时代!

新闻资讯2026-04-21 22:43:03

联影磁共振怎么样平原县第一人民医院联影uMR780 光梭3.0T磁共振正式投入使用,开启医学影像新时代!_https://www.jmylbn.com_新闻资讯_第1张

近日,业界高端的3.0T磁共振设备——联影uMR780 “光梭3.0T磁共振”在平原县第一人民医院正式投入使用使患者在家门口即可享受到精准、快捷、高效的诊疗服务。

联影磁共振怎么样平原县第一人民医院联影uMR780 光梭3.0T磁共振正式投入使用,开启医学影像新时代!_https://www.jmylbn.com_新闻资讯_第2张

此次引进的联影3.0T光梭磁共振成像系统,是我县第一台3.0T高端磁共振设备,也是国际最先进的医疗检查设备之一,达到了北京、上海等大型三甲医院的主流装备水平。与1.5T磁共振比较,3.0T磁共振凭借业界领先的超高性能梯度系统、搭载全新光梭技术平台,实现超高速及超高清的磁共振检查,开启磁共振精致极速成像时代。

该设备还搭载了丰富全面的高级应用及AI应用,如全身类PET、肝脏脂肪定量分析、3D ASL脑灌注分析、高清小视野弥散、全脊柱自动拼接、颈动脉斑块分析等,为临床、科研的前沿探索与研究提供了有力工具。

磁共振检查没有任何电离辐射,理论上对人体没有危害,是临床上最为安全的影像检查和诊断方法,分辨率较高,可对神经系统、乳腺、腹部、盆腔、脊柱、全身各关节等部位开展形态学及功能学成像,提供高清、精准的影像诊断信息。尤其是在血管壁显示、关节韧带等体素扫描、腹部动脉多期强化扫描等方面具有比1.5T磁共振不可比拟的优势。

联影磁共振怎么样平原县第一人民医院联影uMR780 光梭3.0T磁共振正式投入使用,开启医学影像新时代!_https://www.jmylbn.com_新闻资讯_第3张

联影uMR780 3.0T超导磁共振三大特点:

一是孔径大,独有65cm新标准孔径设计,极大缓解压抑、憋闷甚至幽闭恐惧症,带给患者更为舒适的扫描感受。

二是48接收通道数字化射频系统、uDCE涡流补偿技术等使图像更清晰、更精准。

三是业内唯一具有的压缩感知极速成像平台,使扫描速度更快,检查时间明显缩短。
自投入使用以来,我院磁共振室以精准的成像质量、高效的诊断效率,赢得了广大患者的好评。

联影磁共振怎么样平原县第一人民医院联影uMR780 光梭3.0T磁共振正式投入使用,开启医学影像新时代!_https://www.jmylbn.com_新闻资讯_第3张

下面介绍我院最近一周部分检查病例

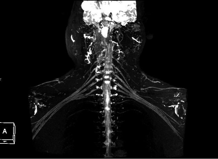
一、在颈部及颅脑血管检查方面优势明显,磁共振血管成像(MRA)为无创性检查方法之一,无电离辐射,无需或仅需少量造影剂(磁共振造影剂为钆剂,比CT的碘剂更安全),图像直观,尤其是3T磁共振的MRA图像质量更趋完美,目前已在不少领域完全取代了诊断性常规血管造影,其应用范围几乎遍及全身所有血管(如:脑动脉、颈动脉、胸腹主动脉、肾动脉和门静脉等)。

联影磁共振怎么样平原县第一人民医院联影uMR780 光梭3.0T磁共振正式投入使用,开启医学影像新时代!_https://www.jmylbn.com_新闻资讯_第5张

联影磁共振怎么样平原县第一人民医院联影uMR780 光梭3.0T磁共振正式投入使用,开启医学影像新时代!_https://www.jmylbn.com_新闻资讯_第6张

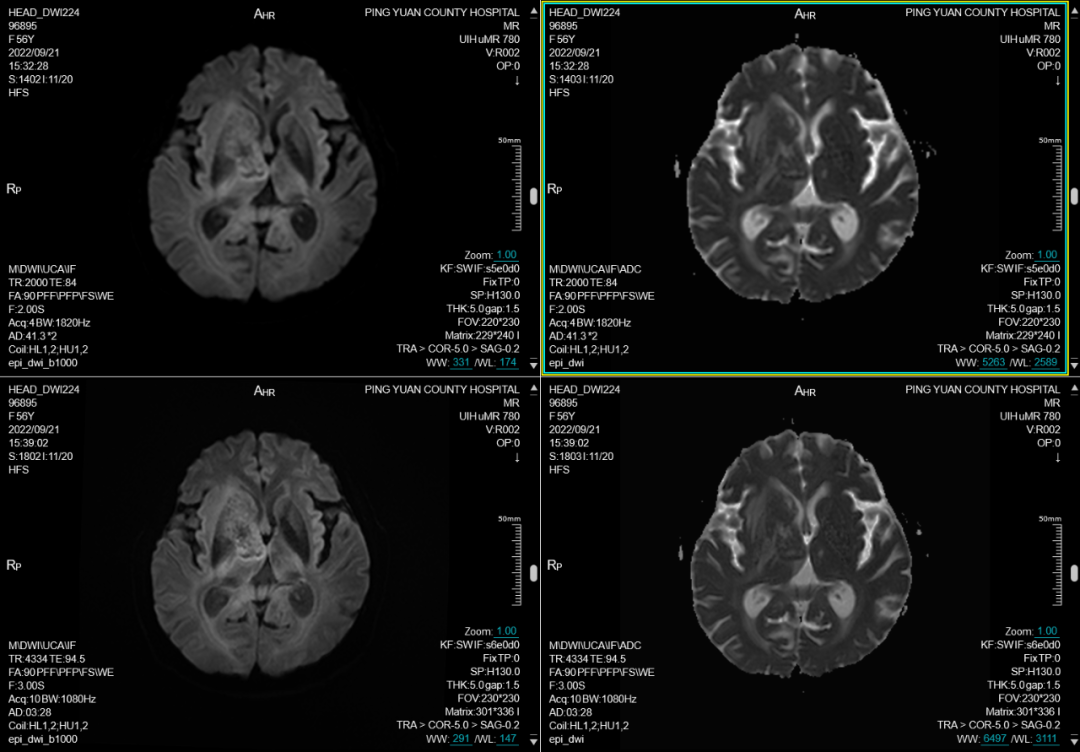
二、弥散加权成像技术(DWI): 弥散加权成像(DWI)是唯一活体检测水分子扩散运动的方法,这项技术应用成熟,可准确判断脑卒中分期,有助于脑肿瘤的诊断及鉴别诊断;随着技术的进展,DWI已经在乳腺、肝脏、子宫附件、前列腺及脊柱骨骼等其它领域得到广泛应用。

联影磁共振怎么样平原县第一人民医院联影uMR780 光梭3.0T磁共振正式投入使用,开启医学影像新时代!_https://www.jmylbn.com_新闻资讯_第7张

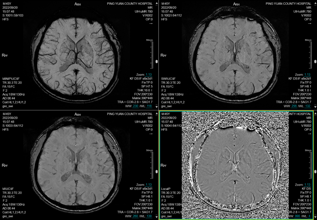
三、磁敏感加权成像技术(SWI): 磁共振磁敏感加权成像(SWI)比常规磁共振检查技术更敏感地显示出血,甚至是微小出血。对脑小血管病、血管炎、海绵状血管瘤、静脉畸形、淀粉样脑血管病(CAA)、CAA相关血管炎、外伤后轴索损伤、蛛网膜下腔出血、脑铁沉积的神经变性病(NBIA)等疾病有重要诊断价值。

联影磁共振怎么样平原县第一人民医院联影uMR780 光梭3.0T磁共振正式投入使用,开启医学影像新时代!_https://www.jmylbn.com_新闻资讯_第8张

四、多体素磁共振波谱检查技术(MRS):多体素磁共振波谱(MRS)检查技术可无创地提供活体脑组织生化代谢特征,广泛地应用在脑肿瘤、脑梗死、脑创伤、癫痫、脑白质疾病、脑灰质疾病和代谢性疾病等领域。

联影磁共振怎么样平原县第一人民医院联影uMR780 光梭3.0T磁共振正式投入使用,开启医学影像新时代!_https://www.jmylbn.com_新闻资讯_第9张

五、乳腺疾病检查方面:乳腺磁共振已被公认为是对乳腺X线摄影不确定病灶的“形态、功能兼备”的、最常用的检查手段,主要优势包括无电离辐射,极高的敏感度,较高的特异度,多平面成像及三维重建。适应症包括:①诊断与筛查:乳腺癌易感人群普查;普通人群尤其小于35岁的女性和致密性乳腺者的乳腺癌普查;临床与钼靶、超声不能确认的病灶;隐匿癌的排查;②术前评估:确定病灶范围,排查单乳多发、双乳多发多中心病灶,显示对周围组织的侵犯;③治疗评价:新辅助治疗评价;保乳术后评价;假体植入(隆胸)。

联影磁共振怎么样平原县第一人民医院联影uMR780 光梭3.0T磁共振正式投入使用,开启医学影像新时代!_https://www.jmylbn.com_新闻资讯_第10张

联影磁共振怎么样平原县第一人民医院联影uMR780 光梭3.0T磁共振正式投入使用,开启医学影像新时代!_https://www.jmylbn.com_新闻资讯_第11张


六、在四肢及关节检查方面:图像更清晰,后处理功能更丰富

MRI彻底变革了骨骼肌肉结构的成像,主要应用于创伤、关节炎、肿瘤和感染等方面。在创伤方面可显示平片或CT不能显示的病变如骨挫伤或骨小梁骨折,隐匿性骨折平片甚至CT易漏诊,而MRI能清晰显示。MRI是无创评估关节内软骨的最佳检查手段,能清晰观察软骨细微变化。

联影磁共振怎么样平原县第一人民医院联影uMR780 光梭3.0T磁共振正式投入使用,开启医学影像新时代!_https://www.jmylbn.com_新闻资讯_第12张

联影磁共振怎么样平原县第一人民医院联影uMR780 光梭3.0T磁共振正式投入使用,开启医学影像新时代!_https://www.jmylbn.com_新闻资讯_第13张

(膝关节MR检查及后处理)

联影磁共振怎么样平原县第一人民医院联影uMR780 光梭3.0T磁共振正式投入使用,开启医学影像新时代!_https://www.jmylbn.com_新闻资讯_第14张

(肩关节平扫)

联影磁共振怎么样平原县第一人民医院联影uMR780 光梭3.0T磁共振正式投入使用,开启医学影像新时代!_https://www.jmylbn.com_新闻资讯_第15张

(手掌平扫)

联影磁共振怎么样平原县第一人民医院联影uMR780 光梭3.0T磁共振正式投入使用,开启医学影像新时代!_https://www.jmylbn.com_新闻资讯_第16张

(小腿平扫)

七、全身类PET成像,此项检查技术主要用于全身转移肿瘤的筛查:

①磁共振类 PET成像对全身恶性肿瘤病变性质的诊断,尤其对全身转移灶的筛查,淋巴结转移筛查及恶性肿瘤的分期评估具有很高的价值。②对已明确发现转移性病灶寻找其原发灶;术后放化疗的效应观察等具有较大优势。③对高危人群的肿瘤筛查具有实用价值。


联影磁共振怎么样平原县第一人民医院联影uMR780 光梭3.0T磁共振正式投入使用,开启医学影像新时代!_https://www.jmylbn.com_新闻资讯_第17张
联影磁共振怎么样平原县第一人民医院联影uMR780 光梭3.0T磁共振正式投入使用,开启医学影像新时代!_https://www.jmylbn.com_新闻资讯_第18张
联影磁共振怎么样平原县第一人民医院联影uMR780 光梭3.0T磁共振正式投入使用,开启医学影像新时代!_https://www.jmylbn.com_新闻资讯_第19张
联影磁共振怎么样平原县第一人民医院联影uMR780 光梭3.0T磁共振正式投入使用,开启医学影像新时代!_https://www.jmylbn.com_新闻资讯_第20张
联影磁共振怎么样平原县第一人民医院联影uMR780 光梭3.0T磁共振正式投入使用,开启医学影像新时代!_https://www.jmylbn.com_新闻资讯_第21张
联影磁共振怎么样平原县第一人民医院联影uMR780 光梭3.0T磁共振正式投入使用,开启医学影像新时代!_https://www.jmylbn.com_新闻资讯_第22张
联影磁共振怎么样平原县第一人民医院联影uMR780 光梭3.0T磁共振正式投入使用,开启医学影像新时代!_https://www.jmylbn.com_新闻资讯_第23张
八、神经臂丛成像:此项检查技术在临床中主要应用于外伤患者有无神经丛的损伤。

联影磁共振怎么样平原县第一人民医院联影uMR780 光梭3.0T磁共振正式投入使用,开启医学影像新时代!_https://www.jmylbn.com_新闻资讯_第24张

联影磁共振怎么样平原县第一人民医院联影uMR780 光梭3.0T磁共振正式投入使用,开启医学影像新时代!_https://www.jmylbn.com_新闻资讯_第25张

九、垂体动态增强扫描技术:此项检查技术主要应用于垂体瘤的诊断,尤其是应用在垂体微腺瘤的检出上。
联影磁共振怎么样平原县第一人民医院联影uMR780 光梭3.0T磁共振正式投入使用,开启医学影像新时代!_https://www.jmylbn.com_新闻资讯_第26张
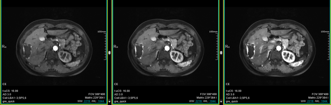
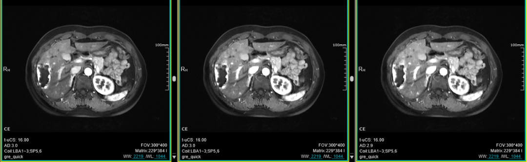
十、肝脏动脉期多期扫描技术(最多可达32期):此项检查技术主要应用于上腹部,尤其是应用于不同期相肝脏富血供肿瘤的检出上。
联影磁共振怎么样平原县第一人民医院联影uMR780 光梭3.0T磁共振正式投入使用,开启医学影像新时代!_https://www.jmylbn.com_新闻资讯_第27张
联影磁共振怎么样平原县第一人民医院联影uMR780 光梭3.0T磁共振正式投入使用,开启医学影像新时代!_https://www.jmylbn.com_新闻资讯_第28张
磁共振是目前临床上普遍应用的影像检查手段,但不是万能的,并且MRI本身的安全管理问题要值得关注,如心脏植入式电子设备包括心脏起搏器、强铁磁性材料的动脉瘤夹禁止MRI检查,12周以前早孕期妇女应该避免MRI检查,高热、昏迷等患者也应避免MRI检查。任何参与MRI检查的人员包括受检者、陪同家属、医护人员都必须去除所有金属附属物,如磁卡、手表、钥匙、硬币、发夹、眼镜、手机及类似电子设备、可移除的体表穿孔后佩戴的首饰、金属的药物传导片、含金属颗粒的化妆品以及有金属饰物的衣服等。
总之,磁共振诊断疾病具有很大的优越性,今年来发展十分迅速,给影像医学的发展带来不可估量的临床应用潜力。
磁共振室就诊咨询电话:0534—4253789




联影磁共振怎么样平原县第一人民医院联影uMR780 光梭3.0T磁共振正式投入使用,开启医学影像新时代!_https://www.jmylbn.com_新闻资讯_第29张

END


供稿:张小军
编辑:杜   琳
审核:张   朝
终审:郑世芬

平原县人民医院

位置:

山东省德州市平原县康宁路566号

平原县人民医院

位置:

山东省德州市平原县康宁路566号

平原县人民医院

位置:

山东省德州市平原县康宁路566号

平原县人民医院

位置:

山东省德州市平原县康宁路566号

平原县人民医院

位置:

山东省德州市平原县康宁路566号

平原县人民医院

位置:

山东省德州市平原县康宁路566号

平原县人民医院

位置:

山东省德州市平原县康宁路566号

平原县人民医院

位置:

山东省德州市平原县康宁路566号

联影磁共振怎么样平原县第一人民医院联影uMR780 光梭3.0T磁共振正式投入使用,开启医学影像新时代!_https://www.jmylbn.com_新闻资讯_第30张

微信订阅号

联影磁共振怎么样平原县第一人民医院联影uMR780 光梭3.0T磁共振正式投入使用,开启医学影像新时代!_https://www.jmylbn.com_新闻资讯_第31张

微信服务号


联影磁共振怎么样平原县第一人民医院联影uMR780 光梭3.0T磁共振正式投入使用,开启医学影像新时代!_https://www.jmylbn.com_新闻资讯_第32张

☎咨询电话:0534-4250358

☎投诉电话:0534-4256366

☎急救电话:4200120/4216666

☎发热门诊电话:0534-4258583

📫 微信:平原县人民医院

🏠 地址:平原县平安西大街566号

🏥 官网:pyxdyrmyy.com