常记溪亭日暮,沉醉不知归路。
公众号:小小华佗的小斧头没凹
支气管镜检查过程中,患者腹部膨隆,心率降至50次/分,血氧饱和度降至55%,呼吸增至30次/分,血压降至90/50 mmHg......
一切,只因气管镜检查过程中,吸氧的方式可能不妥当!
具体怎么一回事?
01
参考文献
02
患者,68岁,农民,因“咳嗽、咳痰、气短、发热1周余”入院。
9年睡眠呼吸暂停低通气综合征病史。
入院查体:体温38.1℃,脉搏90次/分,呼吸20次/分,血压124/68 mmHg,静息状态下指脉氧饱和度91%。体重指数31.6。
血细胞分析:白细胞总数12.18×10⁹/L。肝功能、肾功能、电解质、脑钠肽均正常。
动脉血气分析:pH 7.43,PaCO2 36 mmHg,PaO2 61 mmHg,HCO3– 23.90 mmol/L。
胸部CT示:双肺多发磨玻璃样密度影、斑片影及结节影。
初步诊断考虑:肺部感染。
全身麻醉下支气管镜检查。术前以2%利多卡因鼻喷雾剂行局部麻醉,置入鼻咽通气管给氧。鼻咽通气管置入深度:距鼻孔约5 cm,最终位置预期达到鼻咽部。氧气流量设定为5 L/min。
静脉给予舒芬太尼注射液10μg、丙泊酚注射液0.1g。麻醉起效后,患者无任何气道梗阻征象。
03
内镜经鼻腔置入。
内镜下检查见气管及支气管黏膜明显充血。气管远端及右主支气管管壁覆盖少量白色物质。
进镜后,仅行单纯支气管肺泡灌洗,未行刷检、活检及穿刺操作。操作过程中,未出现剧烈咳嗽。
操作数分钟后,支气管镜抵达右下肺基底段进行灌洗时,患者出现腹部膨隆。心电监护示:心率108次/分,血氧饱和度87%,血压98/55 mmHg,呼吸23次/分。
体格检查示口唇轻度发绀、腹部膨隆、腹部叩诊鼓音。立即终止支气管镜检查,消化内科、胃肠外科及麻醉科急会诊。迅速拔除鼻咽通气管,改为面罩吸氧。
两分钟后,患者心率降至50次/分,SPO2降至55%,呼吸增至30次/分,血压降至90/50 mmHg。
立马气管插管,机械通气。随后生命体征改善:心率升至105次/分,SPO2升至90%,血压升至100/60 mmHg。
床旁行胃镜检查贲门处有一大小约1 × 2.5 mm的浅溃疡,胃及十二指肠未见穿孔、溃疡及占位性病变。胃及十二指肠内可见少量气体。
腹部膨隆主要考虑为气腹所致。立即用10 mL注射器行右侧腹腔穿刺。穿刺后见大量气泡溢出,腹部膨隆逐渐缓解。此后患者病情好转,拔除气管插管,改为无创呼吸机辅助通气。
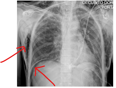
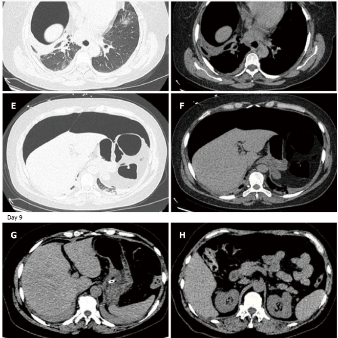
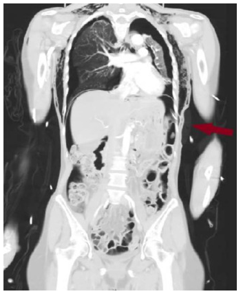
30分钟后,注射器内气泡量明显减少,患者诉腹部胀气显著缓解。行急诊胸腹部CT检查:纵隔少量积气,右侧胸腹壁及肌间隙多发积气,腹腔内仍残留大量游离气体,空肠少量积气伴管腔轻度扩张:下图A、B)。
后续治疗(其中留置胃管2天、禁食3天及支持治疗),复查腹部CT,显示气腹已基本消失(下图C、D)。经过两周抗生素治疗,肺部感染好转出院。
04
问题出在哪?

05
1.纵隔-腹腔气体扩散通路的存在。“McKinley效应”表明,在剧烈咳嗽时,肺泡破裂,空气沿支气管血管鞘进入纵隔,经膈肌裂孔进入腹腔。该患者并无气胸,术中无剧烈咳嗽,该机制的可能性极低。
2.患者可能存在气道薄弱,支气管镜检查造成轻微气道损伤,气体沿组织间隙扩散至纵隔、腹腔及胸腹壁。该患者不能完全排除此机制的可能性,但术中未见气道薄弱,可能性极小。
3.可能性最大的是给氧方式欠妥当(不算违规操作)!
此患者,支气管镜检查过程中, 置入鼻咽通气管给氧。鼻咽通气管置入深度为距鼻孔约5 cm,氧气流量设定为5 L/min。
鼻咽通气管放置在咽喉,气体可能进入食管;另外,氧气流量太大了,可能损伤粘膜(麻醉状态下咽部肌力减弱)。
气体进入消化道后,随着食管内吸气压力增加,形成单向瓣膜机制,使气体进入消化道,消化道压力增高并发生微小穿孔,这时候胃十二指肠镜检查不容易发现异常。气体进入腹腔及纵隔,导致气腹、纵隔气肿及胸腹壁气肿。腹腔内压力增高可能挤压肠腔空间,从而出现腹腔内积聚大量气体而肠腔内仅有少量气体的现象。
06
过去30年,文献报道支气管镜操作中出现气腹的有12例患者,经鼻咽通气管给氧者占66%(8例)。只有3例表现为单纯性气腹(包括1例TBNA及2例观察性操作),其余大多合并气胸和/或纵隔气肿。
07
有时,一个小小的细节可能导致巨大的临床灾难。
Sometimes, a small detail may cause a huge clinical disaster.
08 无独有偶
Pereira IS, Ferreira L, Tinoco E, Shiang T, Oliveira A, Pereira AI. Gastric rupture during fiberoptic bronchoscopy, a rare complication of oxygen administration by nasopharyngeal cannula: a case report. Braz J Anesthesiol. 2023;73(5):686-688. doi:10.1016/j.bjane.2021.12.009
在纤维支气管镜检查过程中,常会同时使用鼻咽导管进行供氧。我们报告一例61岁女性患者的病例,该患者因咯血痰病史接受纤维支气管镜检查。术中发生胃破裂,导致大量气腹和双侧气胸,需立即进行气体引流并实施急诊剖腹手术。这很可能是鼻咽导管使用引发的并发症。
术中置入鼻咽导管,以4 L/min的流量给予氧气。
检查开始时,支气管镜才到鼻子,还没有过声门,患者有自主呼吸,突发严重腹胀,血氧饱和度迅速下降,需立即使用球囊面罩进行通气。
随后,患者出现无脉电活动导致的心跳呼吸骤停,经过一个周期的高级生命支持后恢复自主循环,并顺利实施气管插管。
插管后,发现颈部和前胸壁出现皮下气肿。左胸呼吸音减弱,叩诊呈鼓音,遂立即于锁骨中线第二肋间进行穿刺减压,并在与乳头平齐的腋中线位置放置胸腔引流管,可见气体即刻逸出。使用罗库溴铵后,腹壁胀满稍有缓解。
在支气管镜操作室内行胸部X线检查,显示弥漫性肺气肿及气腹(图1)。
随后将患者转运至放射科行计算机断层扫描(CT),结果显示双侧气胸伴广泛性气腹(图2),口服造影剂外渗至腹腔,提示存在胃破裂。CT检查还显示左侧胸腔引流管位于腹腔内。CT扫描后立即于右侧放置胸腔引流管,可见气体即刻排出。
患者接受了急诊剖腹探查术,术中发现胃小弯处有一处10厘米长的撕裂伤,并予以缝合。
术后24小时患者拔除气管插管,术后3天拔除胸腔引流管。术后第4天患者从重症监护室转出。住院期间未发生值得报告的相关并发症。
08
Baima YJ, Shi DD, Shi XY, et al. How to manage isolated tension non-surgical pneumoperitonium during bronchoscopy? A case report. World J Clin Cases. 2022;10(34):12717-12725. doi:10.12998/wjcc.v10.i34.12717
张力性气腹是支气管镜检查过程中一种罕见的并发症,可导致急性呼吸和血流动力学衰竭,后果可能致命。支气管镜检查中出现的孤立性气腹通常由腹腔脏器破裂引起,需要手术修复。
病例摘要: 一名51岁女性因咳嗽伴血痰7天入院。入院第8天,为检测下呼吸道可能存在的病原体,安排了支气管镜检查以进行支气管肺泡灌洗。检查过程中,通过一根12F鼻咽导管以5-10 L/min的流量输送氧气,导管尖端距鼻孔约5-6 cm。支气管镜检查开始4分钟后,患者突然呕吐约20 mL水,随后出现剧烈腹痛。体格检查显示明显腹胀、全腹硬韧及压痛,考虑为气腹,遂立即终止支气管镜检查。计算机断层扫描显示孤立性张力性气腹,遂置入引流管进行腹腔减压,患者症状随之缓解。多学科专家会诊讨论后建议进行剖腹探查,但最终被患者家属拒绝。患者无腹膜炎体征,最终于支气管镜检查后5天顺利出院,恢复良好。
应警惕支气管镜检查过程中发生张力性气腹的可能性。对于部分患者,保守治疗可能是合理的选择,患者预后良好。
08


最多调侃一句马路杀手。09 学习视频
10
肺功能入门知识大全
呼吸机小视频1~10
呼吸机小视频11~15
呼吸机:轻松+飞快入门
气管镜视频在这
呼吸重症:呼吸机参数设置指南(入门版),附视频
文章汇总:支气管镜、胸腔镜、胸腔穿刺
杨柳岸,晓风残月。
视频