Warning: mkdir(): File exists in /www/wwwroot/jmylbn.com/wp-content/themes/wpzt-answer/vendor/wpzt/cache/driver/File.php on line 91
abp在医学是什么意思美例新声病例分享 | 复发活动性变应性支气管肺曲霉病(ABPA)咳嗽患者诊治经验分享 - 活检穿刺产品网
Warning: mkdir(): File exists in /www/wwwroot/jmylbn.com/wp-content/themes/wpzt-answer/vendor/wpzt/cache/driver/File.php on line 91

abp在医学是什么意思美例新声病例分享 | 复发活动性变应性支气管肺曲霉病(ABPA)咳嗽患者诊治经验分享

新闻资讯2026-04-23 13:54:36

abp在医学是什么意思美例新声病例分享 | 复发活动性变应性支气管肺曲霉病(ABPA)咳嗽患者诊治经验分享_https://www.jmylbn.com_新闻资讯_第1张

目前,临床针对特殊类型疾病患者的咳嗽,在病因治疗基础上联合止咳药物是否对改善其咳嗽症状更有益处,值得我们从多方面进行探讨。美例新声项目是由中国医学论坛报社发起的咳嗽临床诊疗新观念全国推广项目,旨在更好地了解国内临床咳嗽诊治真实情况,推动咳嗽诊治规范化,尤其是特殊类型疾病患者的咳嗽诊治。


复方甲氧那明作为临床常用的经验性止咳药物,其在特殊类型疾病患者中的应用价值同样是临床医生关注和感兴趣的话题。在前期调研时,我们对复方甲氧那明在特殊类型疾病患者中的应用情况进行了病例调研和评审,取得了一定成果。本期,我们分享一例复发活动性变应性支气管肺曲霉病(ABPA)咳嗽患者的诊治经验,希望为广大呼吸科医生带来参考。

abp在医学是什么意思美例新声病例分享 | 复发活动性变应性支气管肺曲霉病(ABPA)咳嗽患者诊治经验分享_https://www.jmylbn.com_新闻资讯_第2张

| 病例提供者:上海交大学医学院属瑞金医院  张秋蕊医生


abp在医学是什么意思美例新声病例分享 | 复发活动性变应性支气管肺曲霉病(ABPA)咳嗽患者诊治经验分享_https://www.jmylbn.com_新闻资讯_第3张
基本情况

一般资料:男,75岁。

主诉:反复咳嗽、喘息40余年,加重一周余。

现病史:

30岁(70年代):患者多于吸入煤气味、烟味、油漆味后出现咳嗽、喘息,咳嗽呈阵发性,伴或不伴发热,每次急性发作都需要前往医院接受静脉糖皮质激素治疗方可好转,非急性发作时期可完全没有症状,后被诊断为变态反应性支气管哮喘。

33岁(1978年):因右肺上叶结节,行右肺上叶切除术,术后病理为炎症性病变。

40岁(1985年):因左肺上叶结节,行左肺上叶切除术,术后病理为炎症性病变(由于两次手术的时间已过去很久,无法找到当时的病历)。

55岁(90年代):反复急性发作,咳嗽、咳痰明显增加,气促症状持续。开始应用沙美特罗氟替卡松50μg/250μg每日两吸。症状有所改善,急性加重减少,维持约3年后急性加重次数再次逐渐增加。

60岁(2000年):患者咳嗽咳痰伴喘息症状加重增多、频次增多,经常需要口服糖皮质激素控制症状。

65岁(2010年):于上海市某三甲医院就诊,CT提示肺部磨玻璃影,考虑为真菌感染,予以口服伏立康唑3月余,肺部磨玻璃影消退。后因出现心律失常,予以停用伏立康唑。这是患者40余年病程中首次考虑到真菌感染的可能。

70岁后咳嗽、咳黄色-咖啡色痰愈发增加,气促始终持续,调整治疗为沙美特罗氟替卡松50μg/250μg每日两吸,效果欠佳,劳动耐力下降,喉部可及哮鸣音,简短需口服糖皮质激素。

2018年后反复因急性加重住院,2019年住院4次。

后患者因咳嗽、咳痰、气促症状持续、反复急性加重、糖皮质激素依赖,副作用明显(水钠储溜,低钾血症,低蛋白血症)。

2020年5月开始奥马珠单抗治疗至今,治疗剂量:每两周,600mg,皮下注射。

患者自诉症状无明显好转,但今年夏季未因急性加重住院治疗。

此次患者再次因咳痰喘控制不佳收治入院。

abp在医学是什么意思美例新声病例分享 | 复发活动性变应性支气管肺曲霉病(ABPA)咳嗽患者诊治经验分享_https://www.jmylbn.com_新闻资讯_第4张

2018年—2019年实验室检查(上海某区二甲医院)


abp在医学是什么意思美例新声病例分享 | 复发活动性变应性支气管肺曲霉病(ABPA)咳嗽患者诊治经验分享_https://www.jmylbn.com_新闻资讯_第5张

2018年—2019年患者治疗经过(上海某区二甲医院)

既往史:高血压病史10年余,最高150/95mmHg,长期口服厄贝沙坦150mg qd。冠心病病史,口服阿托伐他汀20mg qn,间断口服呋塞米片20mg qd。有“过敏性鼻炎”病史多年。间断使用布地奈德鼻喷剂治疗。

个人史:生长于原籍,否认疫区疫水接触史,否认有毒有害气体接触史,否认吸烟史。

家族史否认家族性遗传疾病史。

全身系统回顾:除呼吸系统外,其他系统未及异常。

体格检查:T36.8℃,R20次/分,P102次/分,BP160/74mmHg。神清,精神可,自主体位,颈静脉无怒张,浅表淋巴结未及肿大,桶状胸,胸廓扩张度基本对称,语音震颤无明显差异,未及胸膜摩擦感,叩诊过清音,两下肺呼气末高调哮鸣音,未及明显湿啰音,心前区无隆起,心尖波动范围基本正常,心率齐,未及病理性杂音,腹软,无压痛及反跳痛,肝脾肋下未及,双下肢无水肿。NS(-)。

实验室检查(既往肺功能报告):

abp在医学是什么意思美例新声病例分享 | 复发活动性变应性支气管肺曲霉病(ABPA)咳嗽患者诊治经验分享_https://www.jmylbn.com_新闻资讯_第6张

既往肺功能检查报告

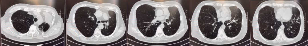
既往胸部CT:

abp在医学是什么意思美例新声病例分享 | 复发活动性变应性支气管肺曲霉病(ABPA)咳嗽患者诊治经验分享_https://www.jmylbn.com_新闻资讯_第7张

2019年5月胸部CT


abp在医学是什么意思美例新声病例分享 | 复发活动性变应性支气管肺曲霉病(ABPA)咳嗽患者诊治经验分享_https://www.jmylbn.com_新闻资讯_第8张

2020年5月胸部CT

入院后肺功能:

专科检查:咳嗽视觉模拟(VAS)评分:70(从无咳嗽到严重咳嗽为0~100分)

实验室检查:

abp在医学是什么意思美例新声病例分享 | 复发活动性变应性支气管肺曲霉病(ABPA)咳嗽患者诊治经验分享_https://www.jmylbn.com_新闻资讯_第9张

abp在医学是什么意思美例新声病例分享 | 复发活动性变应性支气管肺曲霉病(ABPA)咳嗽患者诊治经验分享_https://www.jmylbn.com_新闻资讯_第10张

入院后肺功能检查

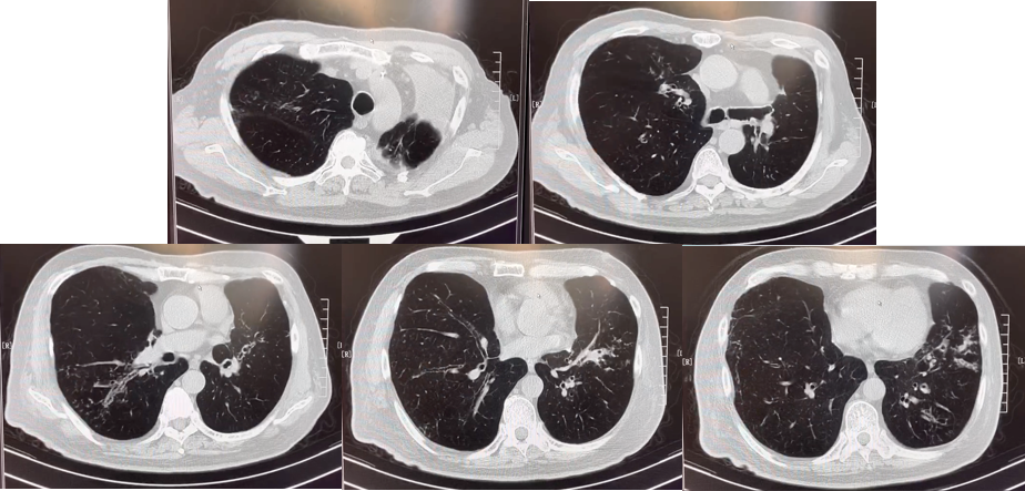
abp在医学是什么意思美例新声病例分享 | 复发活动性变应性支气管肺曲霉病(ABPA)咳嗽患者诊治经验分享_https://www.jmylbn.com_新闻资讯_第11张

入院后胸部CT-2021年10月

诱导痰:未见菌丝,EOS% < 1%

血常规:WBC 9.2*109/L,N% 88.5%,EOS 0%。血气分析(空气):pH 7.32,PaO2 97mmHg ;PaCO2 41mmHg。总IgE 1610IU/ml,曲霉特异性IgE 46.4KUA/L,粉尘螨特异性IgE 0.38KUA/L,虾特异性IgE 0.70KUA/L。

初步诊断:变应性支气管肺曲霉病。

诊断要点及依据

变应性支气管肺曲霉病(ABPA)诊断标准(其中红字标注的部分为该患者符合的诊断标准)

1. 相关疾病:

哮喘(既往多次肺功能检查舒张试验阳性)

②其他:支气管扩张症、慢阻肺、肺囊性纤维化等

2. 必需条件:

烟曲霉特异性IgE水平升高,或烟曲霉皮试速发反应阳性

血清总IgE水平升高(>1000U/ml)

3. 其他条件:

①血嗜酸性粒细胞计数>0.5×109/L(既往住院查见EOS 0.7×109/L)

影像学与ABPA一致的肺部阴影

③血清烟曲霉特异IgG抗体或沉淀素阳性


abp在医学是什么意思美例新声病例分享 | 复发活动性变应性支气管肺曲霉病(ABPA)咳嗽患者诊治经验分享_https://www.jmylbn.com_新闻资讯_第3张
治疗方案

abp在医学是什么意思美例新声病例分享 | 复发活动性变应性支气管肺曲霉病(ABPA)咳嗽患者诊治经验分享_https://www.jmylbn.com_新闻资讯_第13张


abp在医学是什么意思美例新声病例分享 | 复发活动性变应性支气管肺曲霉病(ABPA)咳嗽患者诊治经验分享_https://www.jmylbn.com_新闻资讯_第3张
治疗思路

使用奥马珠治疗的依据:

1. 临床症状:患者近3年来,咳嗽、咳痰、气促症状持续,劳动耐力下降,沙美特罗氟替卡松50/500 每日两吸,效果欠佳,喉部可及哮鸣音,间断需口服糖皮质激素。

2. 糖皮质激素依赖,副作用明显(水钠储溜,低钾血症,低蛋白血症)。

3. 2018年后反复因急性加重住院,2019年住院4次。

4. 为改善症状、减少急性加重次数、减少激素用量,2020年5月开始奥马珠单抗治疗至今,患者急性加重次数较使用前有减少,口服糖皮质激素量有下降。

给予以上初始治疗方案的思路及依据:

1. 静脉糖皮质激素:入院予以甲强龙40mg ivgtt,应用一天肺部哮鸣音就有明显改善,但减量至20mg,气促症状再次加重,哮鸣音再次出现,故维持甲强龙40mg,后改为口服甲泼尼龙20mg bid(约0.75mg/Kg)。

2. 雾化糖皮质激素:布地奈德2mg q12h,增加雾化激素不能代替全身激素的效果。

3. ICS+LABA+LAMA:沙美特罗氟替卡松50/500μg bid,噻托溴铵qd。

4. 抗真菌:伏立康唑200mg qd口服。

5. 奥马珠单抗:600mg每两周,皮下注射。

6. 复方甲氧那明:1个药物,4种成分(氨茶碱、扑尔敏、那可丁、甲氧那明),5大功效(平喘、抗过敏、止咳、祛痰、抗炎)。


abp在医学是什么意思美例新声病例分享 | 复发活动性变应性支气管肺曲霉病(ABPA)咳嗽患者诊治经验分享_https://www.jmylbn.com_新闻资讯_第3张
治疗效果及评估

评分改变:治疗后咳嗽视觉模拟(VAS)评分:50(从无咳嗽到严重咳嗽为0~100分)

临床症状变化:咳嗽、咳痰、喘息/呼吸困难/气促等临床症状得到改善。

检查指标变化:

abp在医学是什么意思美例新声病例分享 | 复发活动性变应性支气管肺曲霉病(ABPA)咳嗽患者诊治经验分享_https://www.jmylbn.com_新闻资讯_第16张

PEF的昼夜变化


abp在医学是什么意思美例新声病例分享 | 复发活动性变应性支气管肺曲霉病(ABPA)咳嗽患者诊治经验分享_https://www.jmylbn.com_新闻资讯_第3张
最终诊断及依据

最终诊断:复发性活动性ABPA 。

诊断依据:

1.相关疾病:

①哮喘(既往多次肺功能检查舒张试验阳性)

②其他:支气管扩张症、慢阻肺、肺囊性纤维化等

2.必需条件:

①烟曲霉特异性IgE水平升高,或烟曲霉皮试速发反应阳性

②血清总IgE水平升高(>1000U/ml)

3.其他条件:

①血嗜酸性粒细胞计数>0.5×109/L(既往住院查见EOS 0.7×109/L)

②影像学与ABPA一致的肺部阴影


abp在医学是什么意思美例新声病例分享 | 复发活动性变应性支气管肺曲霉病(ABPA)咳嗽患者诊治经验分享_https://www.jmylbn.com_新闻资讯_第3张
诊治经验及体会

1. 咳、痰、喘的诊断与鉴别诊断是呼吸科医生的基本功。

2. 患者疾病因“肺部结节”行手术治疗,术后病理提示炎症改变,回顾这份病例,所谓的“肺部结节”极有可能是痰栓等形成所致的局部炎症改变。

3. 复发性活动性ABPA的治疗是相当困难的,多种药物联合应用可能会为患者带来一定获益。

4. 奥马珠单抗:治疗复发性活动性ABPA可改善症状,减少急性发作和住院次数,改善肺功能,减少口服激素剂量

5. 复方甲氧那明:作为一种复合制剂,在平喘、抗过敏、止咳、祛痰、抗炎发挥强大作用,是慢性咳嗽的常用药物。

(编辑李东燕整理 邱忠民教授审校)